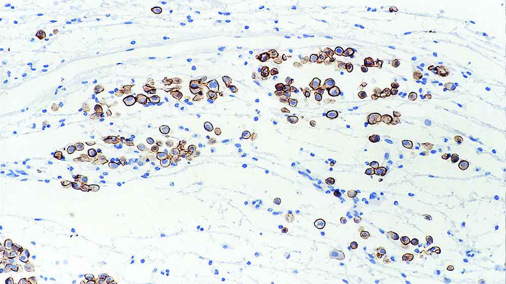
Human mesothelioma: immunohistochemical staining for Mesothelin. Note intense membrane staining of tumor cells. Mesothelin: clone 5B2

Mesothelin

Description de l'antigène

La mésothéline est une glycoprotéine liée au glycosyl-phosphatidylinositol (GPI) de 40 kD, présente à la surface des cellules mésothéliales, des mésothéliomes, des cancers épithéliaux de l'ovaire et de certains carcinomes à cellules squameuses.

Elle est synthétisée sous la forme d'un précurseur de 69 kD, clivé par une enzyme pour produire une forme N-terminale sécrétée de 30 kD et une forme membranaire liée au GPI de 40 kD.

La forme sécrétée est identique au facteur potentiateur des mégacaryocytes, mais c'est la forme membranaire liée au GPI qui présente un intérêt général. La mésothéline est abondamment exprimée dans le rein et dans quelques cellules épithéliales de la trachée, des amygdales et des trompes de Fallope.

La fonction de la mésothéline n'est pas claire, mais elle pourrait jouer un rôle dans l'adhésion cellulaire. La mésothéline est abondante dans les cellules mésothéliales normales, desquelles les mésothéliomes malins et les cystadénocarcinomes ovariens sont dérivés.

Produits

Produits

PA0373-U
7ml Mesothelin Bond RTU Primary
Voir Disponibilité
MESO-L-CE
1ml NCL-L-MESO
Voir Disponibilité
PA0373
7ml Mesothelin BondRTU Primary
Voir Disponibilité
MESO-L-U
1ml NCL-L-MESO
Voir Disponibilité

Téléchargements

Téléchargements

PA0373-U

MESO-L-CE

PA0373

MESO-L-U

Récemment Consultés