Il semble que votre navigateur a désactivé les cookies.
Le site Web exige que votre navigateur active les cookies pour ouvrir une session.
Veuillez activer les cookies et recharger cette page.
Connexion
Nouveaux utilisateurs
En créant un compte, vous aurez accès à une vaste gamme d’avantages :
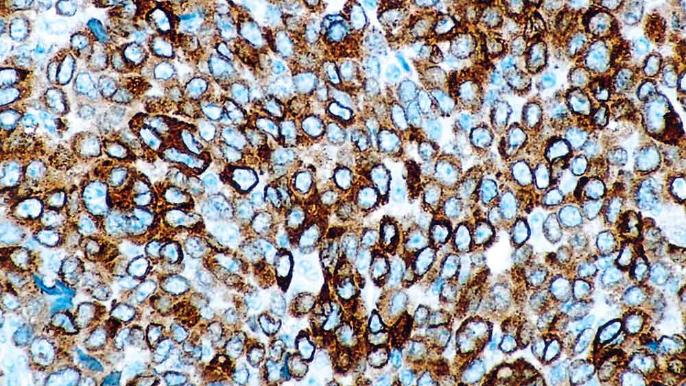
Description de l'antigène
Le melan A, un produit du gène MART-1e, est un marqueur de différenciation des mélanocytes reconnu par les lymphocytes T cytotoxiques autologues.
D'autres marqueurs associés aux mélanomes reconnus par les lymphocytes T cytotoxiques autologues comprennent MAGE-1, MAGE-3, la tyrosinase, gp100, gp75, BAGE-1 et GAGE-1.
L'analyse de ces molécules et de leur expression dans les mélanomes individuels pourrait être utile pour l'étude de leurs rôles moléculaires dans la différenciation des mélanocytes et dans la tumorigenèse.
Algeria
Andorra
Angola
Argentina
Armenia
Australia
Austria
Bahrain
Bangladesh
Belarus
Belgium
Bosnia And Herzegowina
Botswana
Brazil
Brunei Darussalam
Bulgaria
Chile
China
Colombia
Congo, The Democratic Republic Of The
Cote D'Ivoire
Cyprus
Czech Republic
Denmark
Ecuador
Estonia
Finland
France
French Guiana
Georgia
Germany
Ghana
Greece
Guadeloupe
Guyana
Holy See (Vatican City State)
Hong Kong
Hungary
Iceland
Iraq
Ireland
Israel
Italy
Japan
Jordan
Kazakhstan
Kenya
Kuwait
Latvia
Lebanon
Libyan Arab Jamahiriya
Liechtenstein
Lithuania
Luxembourg
Malawi
Malaysia
Malta
Martinique
Mauritania
Mauritius
Mayotte
Mexico
Namibia
Netherlands
New Caledonia
New Zealand
Nigeria
Norway
Occupied Palestinian Territory
Oman
Pakistan
Paraguay
Peru
Philippines
Poland
Portugal
Puerto Rico
Qatar
Reunion
Romania
Russian Federation
Rwanda
Saudi Arabia
Senegal
Serbia
Singapore
Slovakia (Slovak Republic)
Slovenia
South Africa
South Korea
Spain
Sudan
Sweden
Switzerland
Taiwan
Tanzania, United Republic Of
Thailand
Togo
Trinidad And Tobago
Tunisia
Turkey
Uganda
Ukraine
United Arab Emirates
United Kingdom
Uzbekistan
Zambia
Zimbabwe
Algeria
Andorra
Angola
Armenia
Austria
Bahrain
Bangladesh
Belarus
Belgium
Bosnia And Herzegowina
Botswana
Brazil
Brunei Darussalam
Bulgaria
Chile
China
Colombia
Congo, The Democratic Republic Of The
Costa Rica
Cote D'Ivoire
Cyprus
Czech Republic
Denmark
Ecuador
Estonia
Finland
France
French Guiana
Georgia
Germany
Greece
Guadeloupe
Guyana
Holy See (Vatican City State)
Hong Kong
Hungary
Iceland
Iraq
Ireland
Israel
Italy
Japan
Jordan
Kazakhstan
Kenya
Kuwait
Latvia
Lebanon
Libyan Arab Jamahiriya
Liechtenstein
Lithuania
Luxembourg
Malawi
Malta
Martinique
Mauritania
Mauritius
Mexico
Moldova, Republic Of
Morocco
Namibia
Netherlands
New Caledonia
Nigeria
Norway
Occupied Palestinian Territory
Oman
Pakistan
Paraguay
Peru
Philippines
Poland
Portugal
Puerto Rico
Qatar
Reunion
Romania
Russian Federation
Rwanda
Saudi Arabia
Senegal
Serbia
Singapore
Slovakia (Slovak Republic)
Slovenia
South Africa
Spain
Sudan
Sweden
Switzerland
Taiwan
Tanzania, United Republic Of
Thailand
Togo
Trinidad And Tobago
Tunisia
Turkey
Uganda
Ukraine
United Arab Emirates
United Kingdom
Uzbekistan
Zambia
Zimbabwe
Afghanistan
Algeria
Andorra
Angola
Argentina
Armenia
Austria
Bahrain
Bangladesh
Belarus
Belgium
Benin
Bosnia And Herzegowina
Botswana
Brazil
Brunei Darussalam
Bulgaria
Chile
China
Colombia
Congo, The Democratic Republic Of The
Costa Rica
Cote D'Ivoire
Cyprus
Czech Republic
Denmark
Ecuador
El Salvador
Estonia
Ethiopia
Finland
France
French Guiana
Georgia
Germany
Greece
Guadeloupe
Guyana
Holy See (Vatican City State)
Hong Kong
Hungary
Iceland
Indonesia
Iraq
Ireland
Israel
Italy
Japan
Jordan
Kazakhstan
Kenya
Kuwait
Latvia
Lebanon
Libyan Arab Jamahiriya
Liechtenstein
Lithuania
Luxembourg
Malawi
Malta
Martinique
Mauritania
Mauritius
Mexico
Moldova, Republic Of
Morocco
Myanmar
Namibia
Nepal
Netherlands
New Caledonia
Nigeria
Norway
Occupied Palestinian Territory
Oman
Pakistan
Paraguay
Peru
Philippines
Poland
Portugal
Puerto Rico
Qatar
Reunion
Romania
Russian Federation
Rwanda
Saudi Arabia
Senegal
Serbia
Singapore
Slovakia (Slovak Republic)
Slovenia
South Africa
South Korea
Spain
Sudan
Sweden
Switzerland
Taiwan
Tanzania, United Republic Of
Thailand
Togo
Trinidad And Tobago
Tunisia
Turkey
Uganda
Ukraine
United Arab Emirates
United Kingdom
Uruguay
Uzbekistan
Vietnam
Zambia
Zimbabwe
Canada
Puerto Rico
Trinidad And Tobago
United States
Australia
Canada
New Zealand
Puerto Rico
Trinidad And Tobago
United States
Australia
Canada
New Zealand
Puerto Rico
Trinidad And Tobago
United States
Ajouté au panier avec succès
ajouté au panier.
No item added to cart
The replacement product is no longer available, no item has been added to cart.
Si vous avez des questions, contactez-nous au 1.844.534.2262


