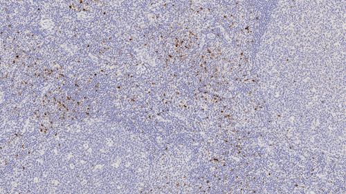
Human Tonsil: immunohistochemistry staining of LAG-3. LAG-3: clone 12H6

LAG-3

Descriptions des antigènes
LAG-3 (Lymphocyte Activation gene 3, CD223) est une protéine transmembranaire constituée de 503 acides aminés. Elle joue un rôle dans la régulation négative de la prolifération cellulaire et de l’activation des lymphocytes T, similaire à celui joué par CTLA-4 et PD-1. LAG3 joue un rôle dans l’épuisement des réponses des lymphocytes T dans le cas du cancer et fait donc l’objet d’études approfondies, en combinaison avec d’autres marqueurs immunomodulateurs connexes.

Clause limitative de responsabilité
LAG-3 est recommandé pour la détection des antigènes d’intérêt spécifiques dans les tissus normaux et néoplasiques, en complément à l'histopathologie traditionnelle utilisant des marqueurs histochimiques non immunologiques.

Produits

Produits

PA0300-U
7mL LAG-3 (12H6) BOND RTU Primary
Voir Disponibilité
PA0300
7mL LAG-3 (12H6) BOND RTU Primary
Voir Disponibilité

Téléchargements

Téléchargements

PA0300-U

PA0300

Récemment Consultés