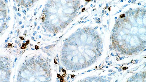
Human colon: immunohistochemical staining for Interleukin 6. Note cytoplasmic staining of a proportion of lymphoid cells. Interleukin 6: clone 10C12

Interleukin 6

L'IL-6 est une cytokine multifonctionnelle sécrétée par les cellules lymphoïdes et non lymphoïdes. Elle joue un rôle crucial dans les réponses immunitaires et dans l'hématopoïèse, et est une cytokine importante pour la prolifération et la différenciation cellulaires.

Elle pourrait également jouer un rôle important de facteur de croissance autocrine dans le cancer de la prostate métastatique. L'IL-6 joue un rôle dans la sécrétion ou la libération de l'hormone hypophysaire dans les cellules sécrétrices d'hormone hypophysaire et dans les adénomes.

De plus, on a suggéré que l'IL-6 a un effet trophique dans les cellules nerveuses, et qu'elle a un rôle pathologique direct dans les désordres du SNC. Un nombre croissant d'études indiquent que les cytokines de la famille de l'IL-6 jouent un rôle régulateur important dans la physiologie cardiaque.

Produits

Produits

IL6-L
1ml NCL-L-IL6
Voir Disponibilité

Téléchargements

Téléchargements

IL6-L

Récemment Consultés