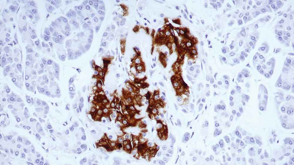
Human pancreas: immunohistochemical staining for insulin-containing cells. Note intense cytoplasmic staining. Insulin: clone 2D11-H5

Insulin

Description de l'antigène

L'insuline est une hormone sécrétée par les cellules bêta des îlots de Langerhans du pancréas. Elle favorise le stockage du glycogène, la formation de triglycérides et la synthèse des protéines et des acides nucléiques.

Des études immunocytochimiques ont révélé la présence d'insuline dans le cytoplasme de certaines tumeurs des îlots.

Cependant, dans certains cas, les granules insuline-positifs sont épars et forment une bordure contre la membrane cellulaire.

Produits

Produits

PA0620-U
7ml Insulin Bond RTU Primary
Voir Disponibilité
PA0620
7ml Insulin Bond RTU Primary
Voir Disponibilité

Téléchargements

Téléchargements

PA0620-U

PA0620

Récemment Consultés