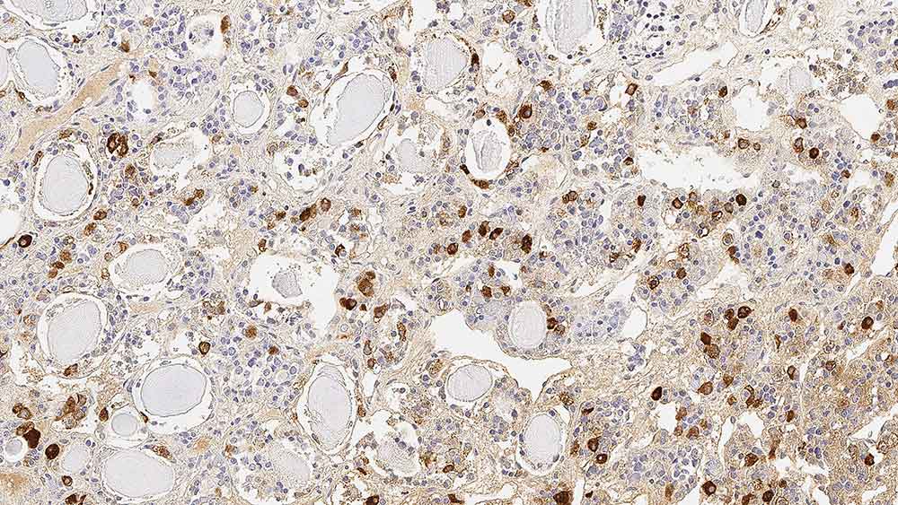
Human pituitary: immunohistochemical staining for HFSH. Note cytoplasmic staining of gonadotrophic cells. Human Follicle Stimulating Hormone (beta 2): clone INN-hFSH-60

HFSH (beta 2) (Human Follicle Stimulating Hormone)

Description de l'antigène

L'hormone de stimulation du follicule (FSH) est une hormone hypophysaire de 35 kD impliquée dans la maturation des follicules ovariens et dans la sécrétion d'œstrogène chez la femme.

Chez l'homme, la FSH stimule la sécrétion de testostérone.

Produits

Produits

PA0693-U
7ml HFSH Bond RTU Primary
Voir Disponibilité
PA0693
7ml HFSH Bond RTU Primary
Voir Disponibilité

Téléchargements

Téléchargements

PA0693-U

PA0693

Récemment Consultés