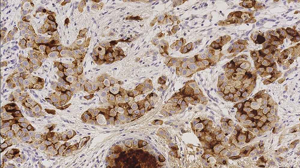
Invasive breast carcinoma: immunohistochemical staining for Gross Cystic Disease Fluid Protein-15. Note the cytoplasmic staining in tumor cells. Gross Cystic Disease Fluid Protein-15: clone 23A3

Gross Cystic Disease Fluid Protein-15

Description de l'antigène

La maladie des kystes macroscopiques du sein est une pathologie bénigne pré-ménopausique dans laquelle les kystes sont la lésion pathologique prédominante. Ces kystes semblent être formés par des sécrétions apocrines excessives

Ce fluide est composé de plusieurs glycoprotéines dont un monomère protéique unique de 15 kD, la GCDFP15. L'analyse cytosolique de tissu normal en provenance de tous les organes principaux a démontré la présence de GCDFP15 dans les épithéliums apocrines, dans les glandes lacrymales, dans les glandes cérumineuses, dans les glandes de Moll, et dans de nombreuses cellules séreuses des glandes salivaires submandibulaires, trachéennes, bronchiques, sublinguales et mineures.

Le cytosol des lésions de carcinome du sein contiennent des concentrations variées de GCDFP15. La concentration de GCDFP15 est plus élevée dans les carcinomes les plus différenciés, et le GCDFP15 ne révèle qu'un petit nombre de cellules épithéliales positives dans les lobules et les petits canaux du sein normal. Son expression a également été observée dans les zones de métaplasie apocrine des fibroadénomes. La protéine GCDFP15 et l'antigène spécifique de la prostate sont co-exprimés dans les tumeurs du sein androgènes-réceptives.

Produits

Produits

GCDFP15-L-CE
1ml NCL-L-GCDFP15
Voir Disponibilité
PA0708
7ml GCDFP15 Bond RTU Primary
Voir Disponibilité
GCDFP15-L-U
1ml NCL-L-GCDFP15
Voir Disponibilité
PA0708-U
7ml GCDFP15 Bond RTU Primary
Voir Disponibilité

Téléchargements

Téléchargements

GCDFP15-L-CE

PA0708

GCDFP15-L-U

PA0708-U

Récemment Consultés