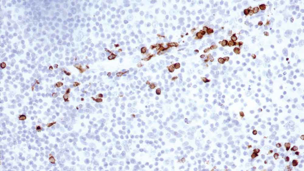
Human tonsil: immunohistochemical staining for Granzyme B: clone 11F1

Granzyme B

Description de l'antigène

Les granzymes sont des protéases à sérine neutres stockées dans des granules lytiques spécialisés des lymphocytes T cytotoxiques (CTL) et des cellules tueuses naturelles (NK).

Ces cellules CTL et NK sont impliquées dans l'élimination des cellules néoplasiques et des cellules infectées par des virus. Des granules de sécrétion contenant de la perforine et des granzymes sont responsables de l'activité cytolytique.

On pense que le granzyme B s'introduit dans une cellule-cible par un canal formé par un pore de perforines pour induire la fragmentation de l'ADN et l'apoptose. Le granzyme B a également été décrit dans les cellules CTL et NK néoplasiques.

Produits

Produits

PA0291-U
7ml Granzyme B Bond RTU Prim
Voir Disponibilité
GRAN-B-L-CE
1ml NCL-L-GRAN-B
Voir Disponibilité
GRAN-B-L
1ml NCL-L-GRAN-B
Voir Disponibilité
PA0291
7ml Granzyme B Bond RTU Prim
Voir Disponibilité
GRAN-B-L-U
1ml NCL-L-GRAN-B
Voir Disponibilité

Téléchargements

Téléchargements

PA0291-U

GRAN-B-L-CE

GRAN-B-L

PA0291

GRAN-B-L-U

Récemment Consultés