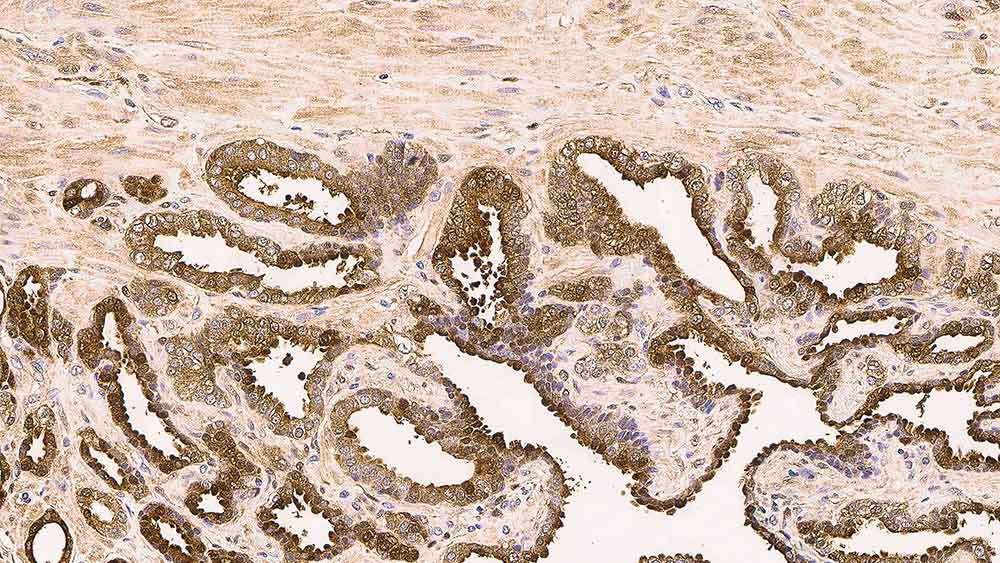
Prostate carcinoma: immunohistochemical staining of Galectin-3. Note the staining in the neoplastic cells and some staining in the stroma. Galectin-3: clone 9C4

Galectin-3

Description de l'antigène

La galectine-3 est un membre de la famille des lectines liant la bêta-galactosidase. Elle est impliquée dans plusieurs fonctions biologiques dont la liaison à la laminine, une glycoprotéine de la membrane basale.

La galectine-3 de la surface cellulaire pourrait être impliquée dans l'adhésion cellulaire homotypique et est régulée à la baisse pendant la progression du cancer du côlon. Cette régulation à la baisse a également été examinée dans les carcinomes du sein avec une corrélation similaire de l'expression.

La régulation à la baisse de la galectine-3 pourrait être l'un des nombreux évènements qui permettent aux cellules cancéreuses d'interagir avec la laminine pour faciliter l'invasion et les métastases, et pourrait être indicatrice de l'activation du phénotype invasif dans plusieurs types de tumeurs.

La galectine-3 a été détectée dans les lymphomes à grandes cellules anaplasiques, alors que la galectine-3 n'est pas détectée dans les cellules de Reed-Sternberg ou dans les variants de la maladie de Hodgkin.

Produits

Produits

PA0238-U
7ml Galectin-3 Bond RTU Primary
Voir Disponibilité
PA0238
7ml Galectin-3 Bond RTU Primary
Voir Disponibilité

Téléchargements

Téléchargements

PA0238-U

PA0238

Récemment Consultés