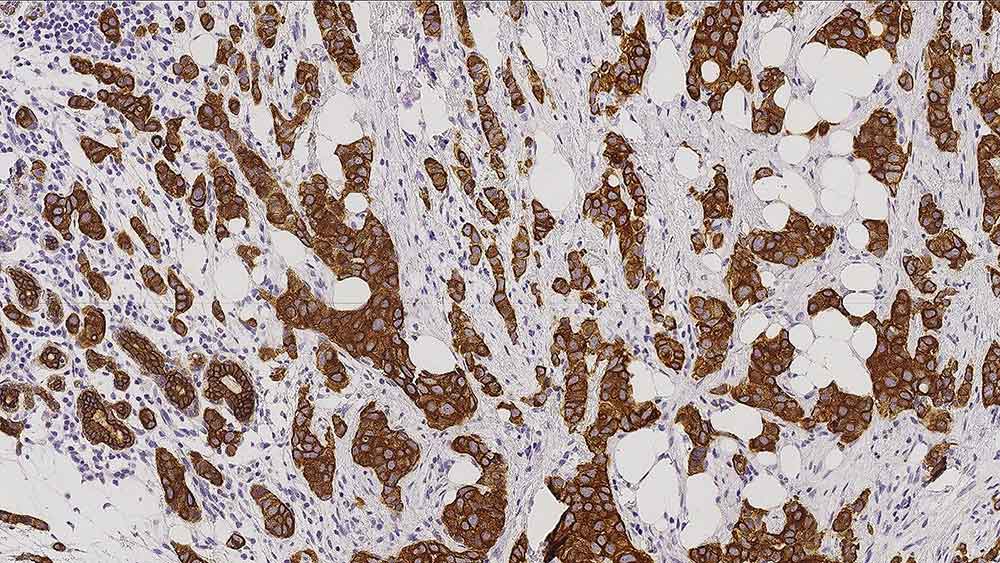
Invasive breast carcinoma: immunohistochemical staining for Cytokeratin 7. Note the intense staining of invasive tumor cells. Cytokeratin 7: clone RN7

Cytokeratin 7

Description de l'antigène

Les cytokératines sont des protéines des filaments intermédiaires présentes dans les cellules épithéliales. Elles sont exprimées de manière spécifique au tissu dans les organes normaux et les tumeurs qui en découlent. La cytokératine 7 appartient à la sous-famille des cytokératines neutres ou basiques de type B. Sa distribution se limite aux épithéliums glandulaires et transitionnels. Une expression abondante de cytokératine 7 a été observée dans les cellules bronchiques et mésothéliales en culture, mais des niveaux d'expression moindres ont été observés dans les cellules épidermiques en culture.

La séquence en acides aminés prédite de cette kératine a révélé une différence marquée entre cette kératine et les kératines de type II exprimées dans les cellules épidermiques. La présence de cytokératine 7 a été détectée dans les adénocarcinomes du poumon, du sein, de l'endomètre, de l'ovaire et de la thyroïde, ainsi que dans les carcinomes de la vessie et dans les carcinomes à cellules rénales chromophobes. L'expression de la cytokératine 7 et celle de la cytokératine 20 présentent des motifs caractéristiques dans les adénocarcinomes primaires et métastatiques du poumon et colorectaux.

Alors que le clone OV-TL 12/30 peut produire un marquage non bienvenu des cellules endothéliales, le clone RN7 ne marque pas ces types cellulaires. La meilleure technique de récupération des épitopes pour le clone OV-TL 12/30, soit par la chaleur ou enzymatique, devrait être déterminée par l'utilisateur. Les clones RN7, OV-TL 12/30 et LP5K réagissent avec une cytokératine (54 kD) des filaments intermédiaires, identifiée comme la cytokératine 7.

Produits

Produits

CK7-560-L-CE
1ml NCL-L-CK7-560
Voir Disponibilité
CK7-OVTL-L-CE
1ml NCL-L-CK7-OVTL
Voir Disponibilité
PA0138
30ml Cytokeratin 7 Bond RTU Primary
Voir Disponibilité
PA0942
7ml CK7 Bond RTU Primary
Voir Disponibilité
CK7-560-L-U
1ml NCL-L-CK7-560
Voir Disponibilité
CK7-OVTL-L-U
1ml NCL-L-CK7-OVTL
Voir Disponibilité
PA0942-U
7ml Cytokeratin 7 Bond RTU Primary
Voir Disponibilité
PA0138-U
30ml Cytokeratin 7 Bond RTU Primary
Voir Disponibilité

Téléchargements

Téléchargements

CK7-560-L-CE

CK7-OVTL-L-CE

PA0138

PA0942

CK7-560-L-U

CK7-OVTL-L-U

PA0942-U

PA0138-U

Récemment Consultés