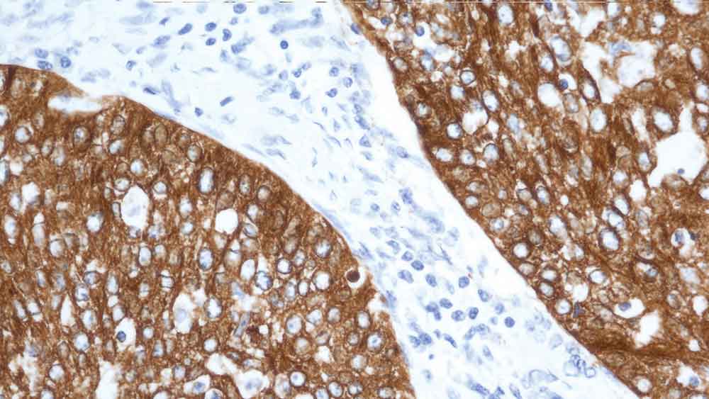
Human rectal adenocarcinoma: immunohistochemical staining for Cytokeratin 19. Note: cytoplasmic staining of malignant epithelial cells. Cytokeratin 19: clone b170

Cytokeratin 19

Description de l'antigène

La plus petite cytokératine humaine des filaments intermédiaires (40 kD) est la cytokératine 19, dont on a observé l'expression dans un grand nombre de types cellulaires épithéliaux, y compris dans de nombreux épithéliums canalaires et glandulaires.

Le NCL-CK19 produit un motif de marquage hétérogène complexe dans les épithéliums squameux non kératinisants et dans les follicules pileux, dans lequel on observe un marquage intense de la couche basale.

Produits

Produits

PA0799
7ml Cytokeratin19 BondRTU Prim
Voir Disponibilité

Téléchargements

Téléchargements

PA0799

Récemment Consultés