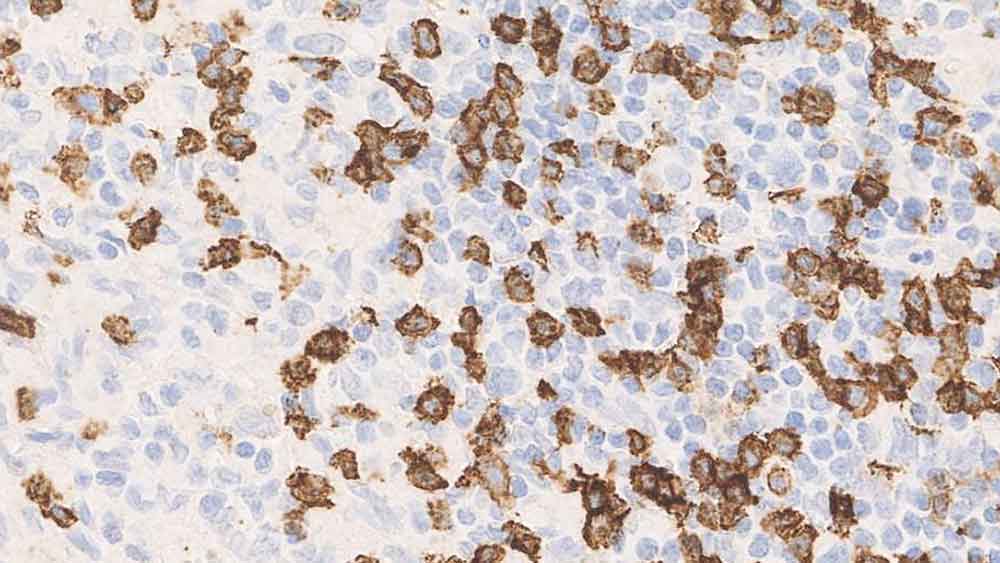
Human lymph node, T cell lymphoma: immunohistochemical staining for CD8. Note the neoplastic cells show a moderate to strong, distinct membrane staining reaction. CD8: clone 4B11

CD8

Description de l'antigène

La molécule CD8 se compose de deux chaînes et a un poids moléculaire de 32 kD. Elle est observée dans une partie des lymphocytes T cytotoxiques et suppresseurs qui constituent environ 20 à 35 pour cent des lymphocytes du sang périphérique.

L'antigène CD8 a été détecté dans les cellules tueuses NK, dans 80 pour cent des thymocytes, dans une sous-population de 30 pour cent des cellules nulles du sang périphérique et dans 15 à 30 pour cent des cellules de la moelle osseuse.

Produits

Produits

CD8-4B11-L
1ml NCL-L-CD8-4B11
Voir Disponibilité
CD8-4B11-L-CE
1ml NCL-L-CD8-4B11
Voir Disponibilité
PA0183
7ml CD8 Bond RTU Primary
Voir Disponibilité
CD8-4B11-L-U
1ml NCL-L-CD8-4B11
Voir Disponibilité
PA0183-U
7ml CD8 Bond RTU Primary
Voir Disponibilité

Téléchargements

Téléchargements

CD8-4B11-L

CD8-4B11-L-CE

PA0183

CD8-4B11-L-U

PA0183-U

Récemment Consultés