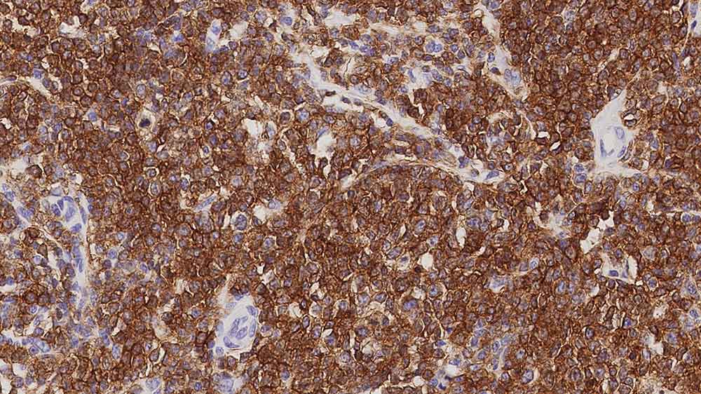
Human diffuse large B cell lymphoma: immunohistochemical staining for CD79a. Note the membrane staining of tumor cells. CD79a: clone JCB117

CD79a

Description de l'antigène

Le complexe CD79 est un hétérodimère à ponts disulfure associé de manière non covalente aux immunoglobulines de la membrane des lymphocytes B. Ce complexe de polypeptides et d'immunoglobulines constitue le récepteur d'antigènes des lymphocytes B. Les deux composantes de ce complexe sont appelées les CD79a et CD79b. L'antigène CD79a apparaît au stade pré-B, tôt dans la maturation, et persiste jusqu'au stade de cellule plasmatique ou il constitue un composant intracellulaire. On a détecté l'expression de l'antigène CD79a dans la majorité des leucémies aigües à type cellulaire précurseur B. Il est absent des lignées cellulaires myéloïdes et des lignées cellulaires T.

Produits

Produits

CD79A-599-L-CE
1ml NCL-L-CD79a-599
Voir Disponibilité
PA0599
7ml CD79a (JCB117) Bond RTU Primary
Voir Disponibilité
CD79A-599-L-U
1ml NCL-L-CD79a-599
Voir Disponibilité
PA0599-U
7ml CD79a (JCB117) Bond RTU Primary
Voir Disponibilité

Téléchargements

Téléchargements

CD79A-599-L-CE

PA0599

CD79A-599-L-U

PA0599-U

Récemment Consultés