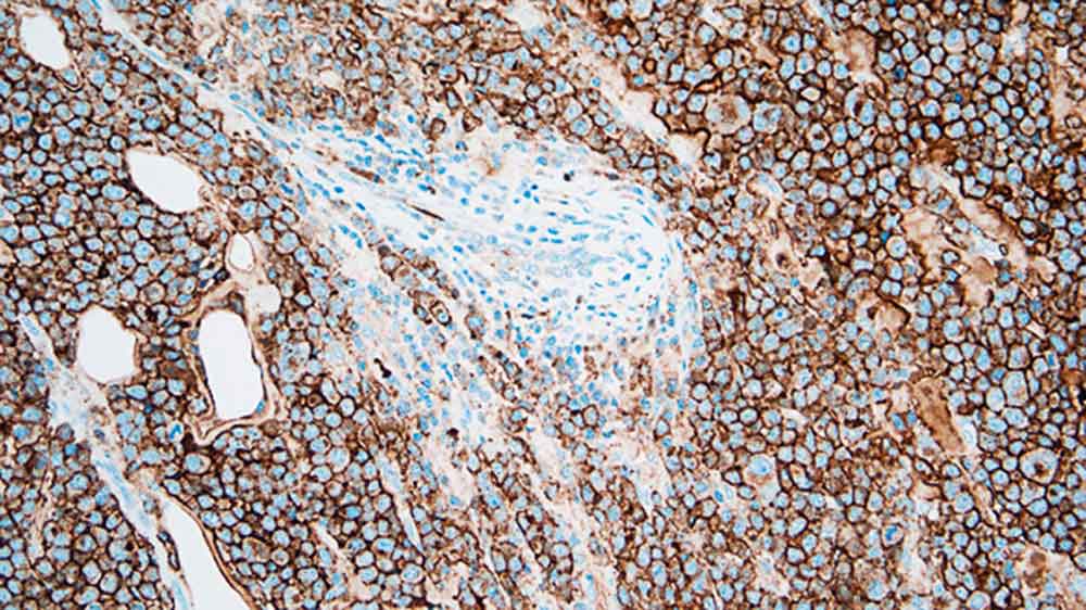
Plasmacytoma: immunohistochemical staining for CD138. Note the intense membrane staining of tumor cells. CD138: clone MI15

CD138 (Syndecan 1)

Description de l'antigène

La molécule CD138 est une glycoprotéine à héparane sulphate transmembranaire exprimée à des stades spécifiques de la différenciation des cellules lymphoïdes normales, comme les cellules pré-B, les lymphocytes B immatures et les cellules plasmatiques productrices d'Ig, et également exprimée dans les épithéliums simples et stratifiés. La perte de l'expression de la CD138 par les cellules atypiques a été décrite comme un évènement précoce de la carcinogenèse du col de l'utérus, alors que l'expression de l'antigène 138 est intimement associée à la préservation de la morphologie et de la différenciation de l'épithélium. Cependant, l'utilité principale de la CD138 en immunohistochimie est la quantification des cellules plasmatiques.

Produits

Produits

PA0088
7ml CD138 Bond RTU Primary
Voir Disponibilité
PA0088-U
7ml CD138 Bond RTU Primary
Voir Disponibilité

Téléchargements

Téléchargements

PA0088

PA0088-U

Récemment Consultés