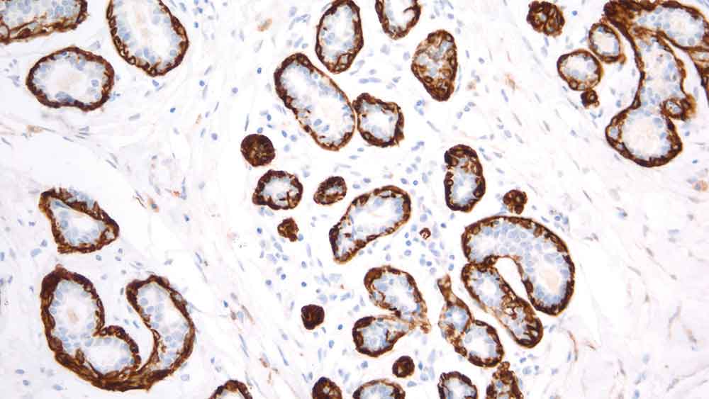
Human prostate: immunohistochemical staining for Calponin (Basic). Note staining of basal cells. Calponin (Basic): clone 26A11

Calponin (Basic)

Description de l'antigène

La calponine basique (calponine-h1) est une protéine de 34 kD qui possède un haut degré d'homologie avec les calponines acide et neutre dans sa région N-terminale. C'est une protéine liant l'actine, la tropomyosine et la calmoduline, probablement impliquée dans la régulation de la contraction des muscles lisses.

L'expression de la calponine basique est limitée aux cellules des muscles lisses, c'est un marqueur de la différenciation du phénotype contractile dans les muscles lisses en développement. Les cellules des muscles lisses vasculaires se transforment en cellules de phénotype synthétique dé-différencié suite à la perte de cette protéine, ce qui est un stade crucial de l'athérosclérose et de la resténose des artères coronaires après angioplastie au ballon.

On pense que la calponine basique exerce son effet par l'intermédiaire du cytosquelette d'actine corticale, et influence la prolifération, le phénotype transformé et le potentiel métastatique des cellules tumorales.

L'ARNm de la calponine basique est exprimé dans le muscle lisse de la prostate, de l'intestin et de l'aorte, alors que les ARNm des calponines neutres et acides sont exprimés dans d'autres tissus que les muscles lisses, tels le cœur, le placenta, le poumon, le rein, le pancréas, la rate, les testicules et l'ovaire, ainsi que dans les tissus contenant des muscles lisses.

Produits

Produits

PA0416-U
7ml Calponin B Bond RTU Primar
Voir Disponibilité
PA0416
7ml Calponin B Bond RTU Primar
Voir Disponibilité

Téléchargements

Téléchargements

PA0416-U

PA0416

Récemment Consultés