Kit de coloration spéciale trichrome de Gomori Leica (Collagène bleu)

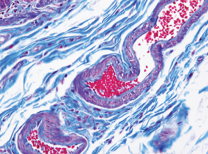
Les colorants trichromes sont utilisés pour colorer et identifier les fibres musculaires, le collagène et les noyaux cellulaires.

Ils peuvent être utilisés pour contraster les muscles squelettique, cardiaque ou lisse.

Le trichrome de Gomori est une simplification de colorations plus élaborées et combine la coloration du plasma (chromotrope 2R) et du tissu conjonctif avec le bleu de Gomori pour fournir une coloration brillante et contrastée.

Produits

Produits

38016SS1C
WEIGERTS HEMATOXYLIN (SOLUTION A) 250ML
Voir Disponibilité
38016SS1D
WEIGERTS HEMATOXYLIN (SOLUTION B) 250ML
Voir Disponibilité

Téléchargements

Téléchargements

38016SS1C

38016SS1D

Récemment Consultés