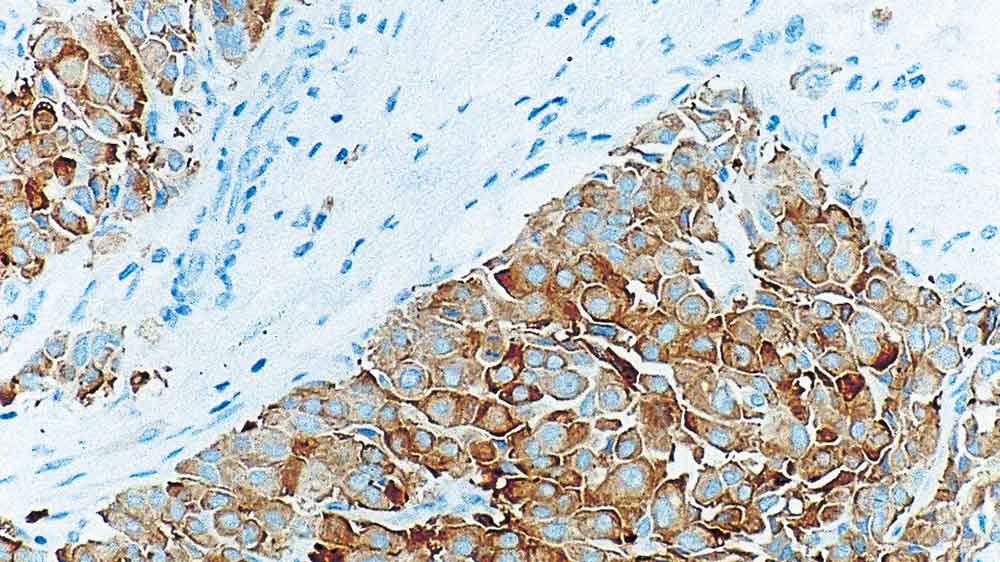
Breast carcinoma showing neuroendocrine differentiation: immunohistochemical staining for Synaptophysin. Note cytoplasmic staining of tumor cells. Synaptophysin: clone 27G12

Synaptophysin

Description de l'antigène

La synaptophysine est une glycoprotéine membranaire intégrale d'un poids moléculaire de 38 kD. Elle a été détectée dans les vésicules présynaptiques des neurones du cerveau, de la moelle épinière et de la rétine, et dans des vésicules similaires de la médullaire surrénalienne, ainsi qu'aux jonctions neuromusculaires .

La synaptophysine est peut-être impliquée dans la formation des vésicules synaptiques et dans l'exocytose. L'expression de la synaptophysine a été détectée dans une large variété de tumeurs neuroendocrines, y compris les neuroblastomes, les ganglioneuroblastomes, les phéochromocytomes, et les paragangliomes chromaffins et non chromaffins.

On a également observé l'expression de la synaptophysine dans les tumeurs neuroendocrines de type épithélial, dont les adénomes hypophysaires, les tumeurs des cellules des îlots, les carcinomes médullaires de la thyroïde, les adénomes parathyroïdens, les carcinoïdes des tractus broncho-pulmonaire et gastro-intestinal, les carcinomes neuroendocrines des tractus broncho-pulmonaire et gastro-intestinal et les carcinomes neuroendocrines de la peau.

Produits

Produits

SYNAP-299-L-CE
1ml NCL-L-SYNAP-299
PA0299
7ml Synaptoph Bond RTU Primary

Téléchargements

Téléchargements

SYNAP-299-L-CE

PA0299

Récemment Consultés