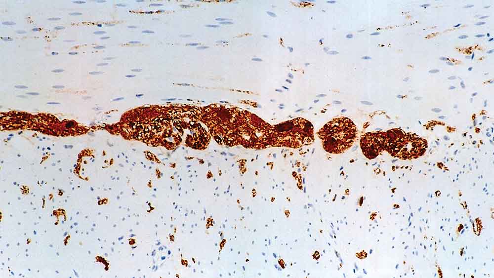
Human colon: immunohistochemical staining of Protein Gene Product 9.5. Note the staining in the neuronal elements and the ganglia of the longitudinal and circular smooth muscle. Protein Gene Product 9.5: clone 10A1

Protein Gene Product 9.5

Description de l'antigène

La PGP9.5 (pour Protein Gene Product 9.5) est une protéine spécifique des neurones, structurellement et immunologiquement différente de l'énolase spécifique des neurones. La protéine, d'un poids moléculaire de 27 kD, a été originellement identifiée par électrophorèse sur gel de polyacrylamide (PAGE) bidimensionnelle à haute résolution.

L'expression de la PGP 9.5 a été détectée dans les neurones et dans les fibres nerveuses, à tous les niveaux des systèmes nerveux central et périphérique, dans de nombreuses cellules neuroendocrines, dans des segments des tubules rénaux, dans les spermatogonies et les cellules de Leydig du testicule, dans les ovules et certaines cellules du corps jaune chez les femmes enceintes ou non enceintes.

La PGP9.5 est un membre de la famille de l'ubiquitine C-terminale hydrolase, et se concentre également à l'intérieur des corps d'inclusion, ce qui suggère que ces structures pourraient être des régions cellulaires métaboliquement actives.

Produits

Produits

PGP9.5-L-CE
1ml NCL-L-PGP9.5
PA0286
7ml PGP 9.5 Bond RTU Primary

Téléchargements

Téléchargements

PGP9.5-L-CE

PA0286

Récemment Consultés