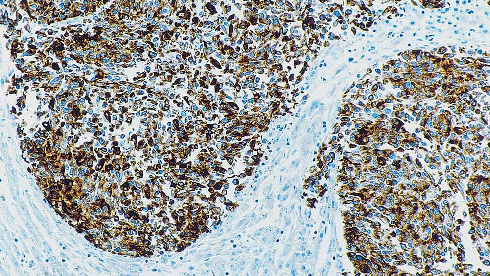
Human prostate: immunohistochemical staining for Prostate Specific Membrane Antigen (PSMA): clone 1D6 

Prostate Specific Membrane Antigen

Description de l'antigène

L'antigène membranaire prostatique spécifique (PSMA) est exprimé sous forme d'une glycoprotéine de 750 acides aminés, mais une forme variante ayant perdu les premiers 57 acides aminés, PSM', peut également être observée .

Le PSMA possède deux activités enzymatiques, une activité de folate hydrolase membranaire intégrale spécifique à la prostate, et une activité de carboxypeptidase.

Des rapports indiquent une corrélation possible entre l'expression du PSMA et le fardeau tumoral, l'expression du PSMA pouvant servir d'indicateur de métastase.

La localisation cellulaire du PSMA diffère de celle de l'antigène prostatique spécifique (PSA) et de celle de la phosphatase acide prostatique (PAP), des protéines sécrétées.

Produits

Produits

PSMA-L
1ml NCL-L-PSMA

Téléchargements

Téléchargements

PSMA-L

Récemment Consultés