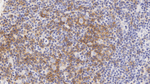
Hodgkin lymphoma: Immunohistochemistry staining of PD-1. PD-1: clone CAL20
Hodgkin lymphoma: Immunohistochemistry staining of PD-1. PD-1: clone CAL20
PD-1
Descriptions des antigènes PD-1 (Programmed Death 1) est un récepteur transmembranaire 55KDa de type I situé à la surface des cellules et exprimé par les lymphocytes T lors de leur activation. Il est également régulé à la hausse dans les cellules B, les cellules dendritiques, les macrophages et certaines cellules myéloïdes, ce qui suggère que PD-1 joue un large rôle dans la régulation de la réponse immunitaire. PD-1 interagit avec au moins deux ligands : PD-L1 et PD-L2. L’interaction PD-1/PD-L1 est importante pour de nombreuses fonctions des lymphocytes T, dont l’inflammation aigüe et chronique, le cancer et l’immunothérapie.
Clause limitative de responsabilité PD-1 est recommandé pour la détection des antigènes d’intérêt spécifiques dans les tissus normaux et néoplasiques, en complément à l'histopathologie traditionnelle utilisant des marqueurs histochimiques non immunologiques.
Produits
Produits
PA0216
7mL PD-1 (CAL20) BOND RTU Primary
Product is out of stock
Due to manufacturing & supply chain issues, this product is currently unavailable. You may place your order and it will be fulfilled when the product is back in stock. For more help, please reach out to customer service at +1 844 534 2262 or nonurgentcs@leicabiosystems.com
Nous avons un stock limité de ce produit
Nous avons un stock limité de ce produit, mais nos produits sont continuellement en fabrication. Votre commande sera traitée, mais le délai de livraison risque dêtre un peu plus long pour cette commande.