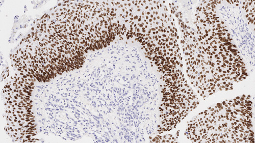
Squamous cell carcinoma of lung: Immunohistochemistry staining of p40. p40: clone BC28
Squamous cell carcinoma of lung: Immunohistochemistry staining of p40. p40: clone BC28
p40
Descriptions des antigènes p40 (Delta Np63) est un produit tronqué de la p63. Il s’exprime normalement dans la couche basale ou les cellules progénitrices de l’épithélium stratifié, les cellules basales de la prostate, ainsi que les cellules myoépithéliales des glandes salivaires et mammaires, et les cytophotoblastes du placenta, et présente un schéma de coloration nucléaire avec l’IHC. Parmi les nombreux néoplasmes positifs au p40, les carcinomes à cellules squameuses d’origine pulmonaire et non pulmonaire peuvent être distingués des autres malignités.
Clause limitative de responsabilité p40 est recommandé pour la détection des antigènes d’intérêt spécifiques dans les tissus normaux et néoplasiques, en complément à l'histopathologie traditionnelle utilisant des marqueurs histochimiques non immunologiques.
Produits
Produits
PA0163
7mL p40 (BC28) Bond RTU Primary
Product is out of stock
Due to manufacturing & supply chain issues, this product is currently unavailable. You may place your order and it will be fulfilled when the product is back in stock. For more help, please reach out to customer service at +1 844 534 2262 or nonurgentcs@leicabiosystems.com
Nous avons un stock limité de ce produit
Nous avons un stock limité de ce produit, mais nos produits sont continuellement en fabrication. Votre commande sera traitée, mais le délai de livraison risque dêtre un peu plus long pour cette commande.