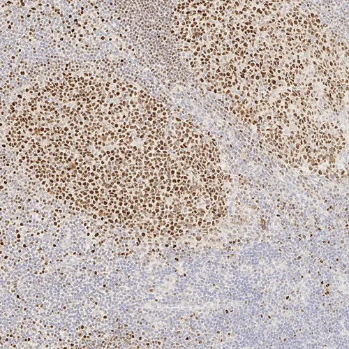
Human tonsil: immunohistochemical staining for Oct-2. Note strong staining of germinal centre B-cells. Oct-2: clone Oct-207

Oct-2

Description de l'antigène

Oct-2 est un facteur de transcription appartenant à la famille des homéodomaines POU, qui lient les sites octamères des Ig régulateurs des gènes spécifiques aux cellules B. Il dépend de l'activité de co-activateurs spécifiques des cellules B, tels que BOB.1/OBF.1. L'expression de la protéine Oct-2 ne se limite pas aux lymphocytes B, bien que les niveaux d'expressions soient beaucoup plus élevés dans ces derniers. Des rapports indiquent que les lymphocytes B des centres germinatifs présentent une expression élevée d'Oct-2 et de BOB.1/OBF.1.

De plus, l'expression d'Oct-2 est significativement plus élevée dans les lymphomes dérivés des centres germinatifs, bien que d'autres lymphomes à cellules B démontrent des taux d'expression élevés. Les cellules de Reed-Sternberg (RS) sont les cellules malignes de la maladie de Hodgkin classique et sont dérivées des lymphocytes B des centres germinatifs.

Dans plusieurs de ces cas, les cellules n'expriment pas d'immunoglobulines, à cause de la présence de mutations invalidantes dans les gènes d'Ig. L'expression des Ig dans les lymphocytes B requérant également une interaction entre les sites octamères et les facteurs de transactivation Oct-2 et BOB.1, l'absence simultanée d'expression d'Oct-2 et de BOB.1 représente un nouveau mécanisme de dérégulation des gènes d'immunoglobuline dans les cellules RS.

Produits

Produits

PA0532
7ml Oct-2 Bond RTU Primary

Téléchargements

Téléchargements

PA0532

Récemment Consultés