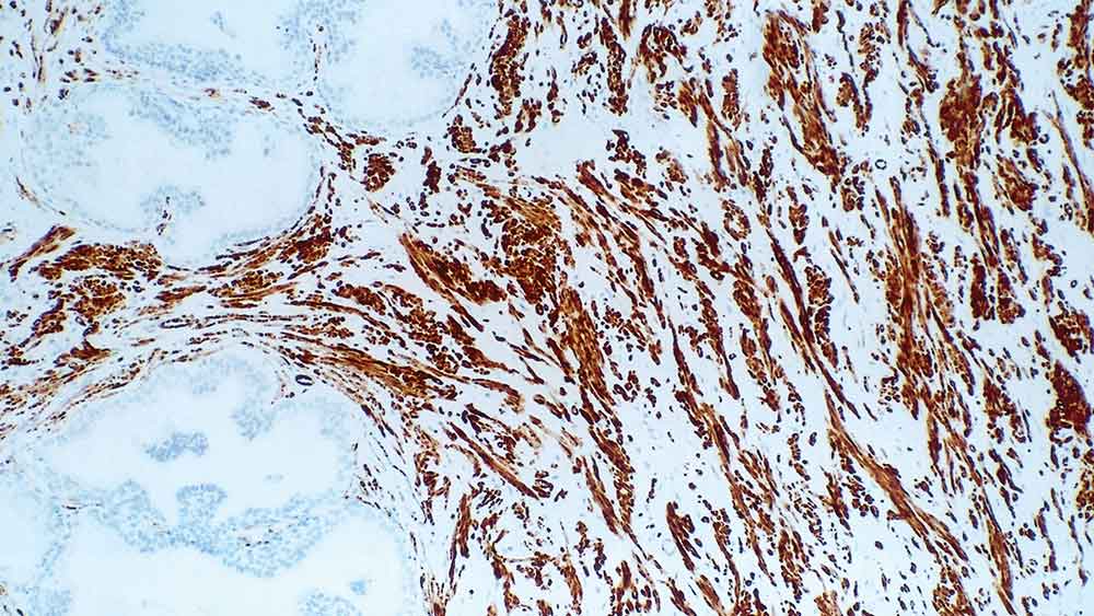
Human prostate: immunohistochemical staining for myosin heavy chain. Note intense staining of muscle fibers. Myosin Heavy Chain (smooth muscle): clone S131

Myosin Heavy Chain Antibodies

Description de l'antigène

La myosine est une protéine spécifique des muscles contractiles composée de deux chaînes lourdes et de quatre chaînes légères.

La chaîne lourde de la myosine présente plusieurs isoformes spécifiques des différent types de muscles ou de fibres musculaires, et certains d'entre elles sont régulées durant le développement.

La chaîne lourde de la myosine du muscle lisse (SM-MHC) est une protéine structurelle cytoplasmique, l'un des composants principaux de l'appareil contractile des cellules de muscle lisse.

Elle est spécifique du développement du muscle lisse.

Produits

Produits

MHCD
1ml NCL-MHCd
MHCF
1ml NCL-MHCf
MHCN
1ml NCL-MHCn
MHCS
1ml NCL-MHCs
PA0493
7ml Myosin HC Bond RTU Primary

Téléchargements

Téléchargements

MHCD

MHCF

MHCN

MHCS

PA0493

Récemment Consultés