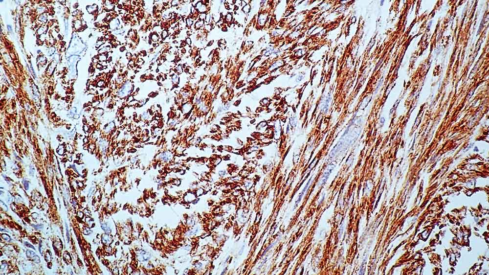
Human leiomyosarcoma: immunohistochemical staining for Muscle Specific Actin. Muscle Specific Actin: clone HHF35

Muscle Specific Actin

Description de l'antigène

Les actines sont des composants protéiques des microfilaments, les éléments ubiquitaires du cytosquelette présents dans la plupart des cellules.

Les actines peuvent être divisées biochimiquement et immunologiquement en deux sous-groupes principaux : les actines alpha sont présentes dans le tissu musculaire, les actines bêta et gamma sont présentes dans les cellules non musculaires, alors qu'un sous-groupe mineur d'actines gamma est présent dans les cellules musculaires.

NCL-MSA est spécifique des actines alpha et gamma des muscles lisses (42 kD), dont l'expression a été détectée dans les fibres de muscle strié du myocarde, dans le muscle squelettique, dans la paroi des cellules artérielles, dans le revêtement musculaire lisse du tractus gastro-intestinal, dans le muscle lisse du myomètre, dans le stroma prostatique et dans la paroi de la vessie

Produits

Produits

MSA-594-L-CE
1ml NCL-L-MSA-594
PA0258
7ml MuscSpecAct Bond RTU Prim

Téléchargements

Téléchargements

MSA-594-L-CE

PA0258

Récemment Consultés