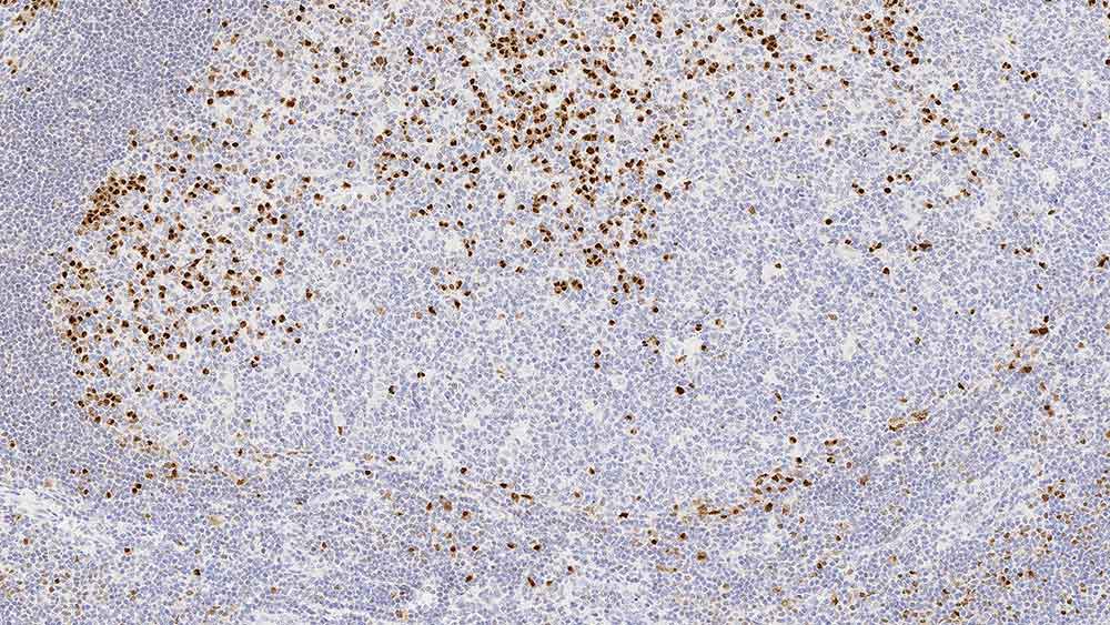
Human tonsil: immunohistochemical staining for MUM-1. Note nuclear staining of B cells showing lymphoplasmacytic differentiation. Multiple Myeloma Oncogene 1: clone EAU32

Multiple Myeloma Oncogene 1 (MUM-1)

Description de l'antigène

Le gène MUM-1 (oncogène 1 du myélome multiple) a été originellement identifié grâce à son implication dans la translocation t(6:14) observée dans le myélome multiple, qui cause la juxtaposition du gène MUM-1 et du locus de la chaîne lourde des Ig.

MUM-1 est exprimé dans les stades ultimes de la différenciation des lymphocytes B dirigée par les cellules plasmatiques, ainsi que dans les lymphocytes T inactivés, ce qui suggère que MUM-1 pourrait servir de marqueur des néoplasmes lympho-hématopoïétiques dérivés de ces cellules.

L'éventail morphologique des cellules exprimant MUM-1 varie des centrocytes aux plasmablastes et aux cellules plasmatiques. En conséquence, la valeur histogénique de MUM-1 pourrait être de fournir un marqueur pour aider à l'identification de la transition entre les cellules BCL-6-positives (lymphocytes B des centres germinatifs) et les cellules CD138-positives (immunoblastes et cellules plasmatiques).

MUM-1 est exprimé dans une vaste gamme de néoplasmes lymphoïdes, dont une proportion des lymphomes diffus à cellules B, mais pas dans les néoplasmes myéloïdes ou extra-hématopoïétiques. MUM-1 est invariablement exprimé dans les cellules de myélomes, dans les cellules de Reed-Sternberg de la maladie de Hodgkin classique, et dans les lymphocytes T activés et néoplasiques.

Produits

Produits

MUM1-L-CE
1ml NCL-L-MUM1
PA0129
7ml MUM1 Bond RTU Primary

Téléchargements

Téléchargements

MUM1-L-CE

PA0129

Récemment Consultés