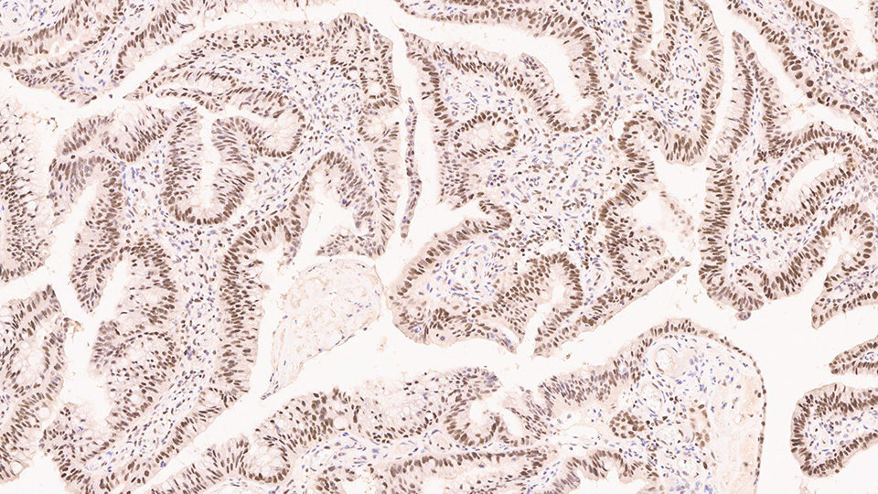
Colorectal carcinoma: immunohistochemical staining for mismatch repair protein (PMS2). Note nuclear staining in a high proportion of the malignant cells. Mismatch Repair Protein (PMS2): clone EP51.

Mismatch Repair Protein (PMS2)

Description de l'antigène

La protéine 2 de ségrégation post-méiotique (PMS2), aussi connue sous le nom d'homologue 2 de PMS1, est une protéine de réparation des mésappariements de l'ADN (mismatch repair ou MMR). Les membres de la famille de la PMS2 sont groupés sur le chromosome 7.

La PMS2 est une protéine de réparation des mésappariements de 96 kD, intimement apparentée à MLH1, MLH3 et PMS1, qui sont des homologues du gène bactérien mutL. La protéine PMS2 forme un hétérodimère avec la protéine MLH1, activé en présence d'ATP ; ce complexe coordonne la liaison d'autres protéines qui participent à la réparation des erreurs qui surviennent dans l'ADN lors de la préparation de la division cellulaire.

La perte de l'expression de la PMS2 dans les tumeurs peut être utile pour l'identification des porteurs de la mutation hMLH1, et pour décider si une analyse mutationnelle est appropriée pour ces personnes. Des défauts du gène PMS2 sont responsables d'une proportion petite mais significative des cancers colorectaux et d'une proportion substantielle des tumeurs présentant une instabilité des microsatellites.

La PMS2 est associée à des cas de cancer du côlon héréditaire non polypeux (HNPCC), et plus clairement avec une variation du HNPCC appelé syndrome de Turcot.

Produits

Produits

PMS2-L-CE
1ml NCL-L-PMS2
PA0991
7ml PMS2 (EP51) Bond RTU Primary

Téléchargements

Téléchargements

PMS2-L-CE

PA0991

Récemment Consultés