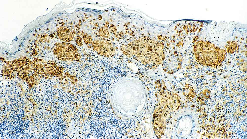
Human malignant melanoma: immunohistochemical staining for Microphthalmia Transcription Factor. Note nuclear staining of melanoma cells. Microphthalmia Transcription Factor: clone 34CA5

Microphthalmia Transcription Factor (MITF)

Description de l'antigène

Le produit du gène du facteur de transcription associé à la microphtalmie (MITF) est un facteur de transcription nucléaire de type hélice-boucle-hélice, dont on pense qu'il joue un rôle dans la régulation des gènes codant pour les enzymes nécessaires à la mélanogenèse. Ceux-ci comprennent les tyrosinases TRP-1 et TRP-2.

MITF est essentiel au développement embryonnaire et à la viabilité post-natale des mélanocytes. On a observé l'expression de l'isoforme spécifique aux mélanocytes du facteur de transcription associé à la microphtalmie, MITF-M, dans les mélanocytes normaux et malins.

Les autres isoformes, MITF-A, MITF-C et MITF-H, diffèrent structurellement du MITF-M à leur extrémité N.

Le clone 34CA5 réagit avec l'isoforme MITF-M.

Produits

Produits

MITF-L
1ml NCL-L-MITF

Téléchargements

Téléchargements

MITF-L

Récemment Consultés