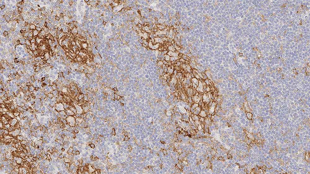
Human appendix: immunohistochemical staining for Immunoglobulin A. Note the intense staining of plasma cells and secreted Immunoglobulin A: clone N1CLA

Immunoglobulin A

Description de l'antigène

L'IgA est un membre de la classe des anticorps de la superfamille des immunoglobulines. Plusieurs classes et sous-classes (isotypes) d'anticorps existent, et l'isotype de l'anticorps est défini par la chaîne lourde de l'immunoglobuline.

La structure de base d'une molécules d'immunoglobuline comprend deux chaînes lourdes identiques (γ, µ, α, δ, ε) et deux chaînes légères identiques, kappa ou lambda. L'IgA contient la chaîne α et existe sous forme sérique ou sécrétoire.

Dans le sérum, 90 pour cent des IgA sont monomériques, alors que dans sa forme sécrétoire, c'est l'immunoglobuline principale des sécrétions, y compris de la salive, du mucus intestinal et bronchique, de la sueur, du colostrum, et des sécrétions de la prostate et des épithéliums respiratoires, où son rôle est de défendre les surface extérieures du corps contre les attaques par les micro-organismes.

Les IgA sécrétoires sont synthétisées par les cellules plasmatiques, et dimérisées à l'intérieur de la cellule avec une chaîne J riche en cystéines.

Le clone N1CLA a été développé pour réduire le bruit de fond associé aux anticorps polyclonaux dans les coupes en paraffine.

Produits

Produits

IGA-L-CE
1ml NCL-L-IgA

Téléchargements

Téléchargements

IGA-L-CE

Récemment Consultés