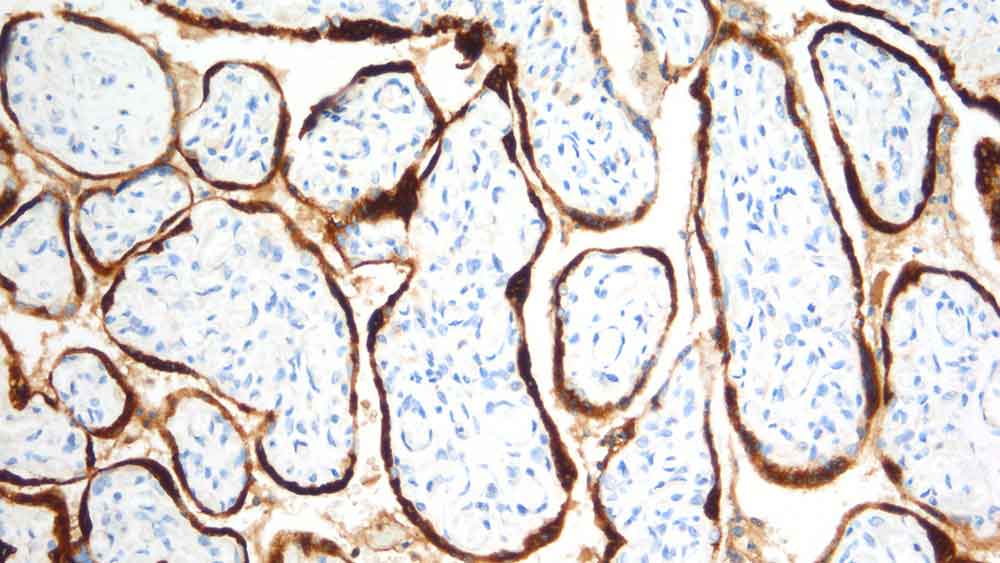
Human placenta: immunohistochemical staining with Human Chorionic Gonadotrophin (beta): Polyclonal

Human Chorionic Gonadotrophin (beta)

Description de l'antigène

La gonadotrophine chorionique humaine (hCG) est une hormone glycoprotéinique produite par les cellules trophoblastiques du placenta à partir du dixième au douzième jour suivant la conception. Le maintien en vie du fœtus durant le premier trimestre de la grossesse nécessite la production de hCG qui se lie au corps jaune de l'ovaire, stimulant la production de progestérone, et qui entretient l'endomètre sécréteur.

La hCG comprend deux sous-unités : alpha et bêta. La sous-unité alpha de la hCG est identique aux sous-unités alpha de l'hormone lutéinisante, de l'hormone de stimulation de la thyroïde, et de l'hormone de stimulation du follicule. La chaîne alpha commune et les chaînes bêta spécifiques de chaque hormone ont des poids moléculaires de 14 kD et 17kD respectivement.

La sous-unité bêta de la hCG est unique dans la famille des hormones glycoprotéiques à sous-unités bêta, car elle contient une extension de 29 acides aminés à son extrémité COOH. Les chercheurs pensent que la région C-terminale de la sous-unité HCG-bêta joue un rôle dans le comportement intracellulaire de l'hétérodimère. Le NCL-HCGp est dirigé contre la chaîne bêta de la gonadotrophine chorionique humaine et réagit avec les trophoblastes placentaires. Le NCL-HCGp présente une légère réaction croisée avec l'hormone lutéinisante et pourrait dès lors marquer les cellules basophiles de l'hypophyse.

Produits

Produits

PA0014
7ml HCG Bond RTU Primary

Téléchargements

Téléchargements

PA0014

Récemment Consultés