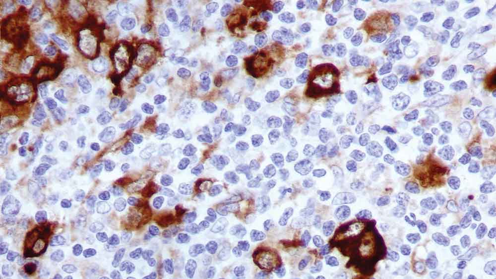
Hodgkin's lymphoma: immunohistochemical staining with Fascin: clone IM20

Fascin

Description de l'antigène

La fascine humaine est une protéine de 58 kD qui organise l'actine en faisceaux, et dont la liaison à l'actine est régulée par phosphorylation. Dans les tissus normaux, la détection de la fascine a été principalement limitée aux cellules dendritiques, et on l'a observée dans le thymus uniquement dans les cellules dendritiques médullaires.

Dans les nœuds réactifs, les cellules réticulaires interdigitées des zones à lymphocytes T, les cellules des zones subcapsulaires et les cellules du réseau réticulaire expriment la fascine. Une expression variable est observée dans les cellules dendritiques folliculaires et dans les cellules endothéliales. Les cellules lymphoïdes, les cellules myéloïdes et les cellules du plasma n'expriment pas la fascine.

Par contre, dans les cas de maladie de Hodgkin, y compris la sclérose nodulaire, la diminution des lymphocytes de cellularité mixte et des cas non classifiées, toutes les cellules de Reed-Sternberg sont positives pour la fascine. L'expression de la fascine pourrait être induite par l'infection des lymphocytes B par le virus d'Epstein-Barr (EBV), avec la possibilité que l'induction virale de la fascine dans les cellules lymphoïde ou dans d'autres types cellulaires puisse aussi être considérée dans les cas d'EBV-positifs.

Produits

Produits

FASCIN-L
1ml NCL-L-FASCIN
PA0420
7ml Fascin Bond RTU Primary

Téléchargements

Téléchargements

FASCIN-L

PA0420

Récemment Consultés