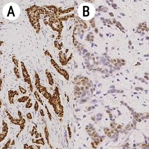
Left: Invasive ductal carcinoma (high expressor): intense nuclear staining in nearly 100% of tumor cells. Right: Invasive ductal carcinoma (moderate expressor): immunohistochemical staining for estrogen receptor. Note the heterogeneous nuclear staining of approximately 50% of tumor cells. Estrogen Receptor: clone 6F11

Estrogen Receptor

Description de l'antigène

Le contenu en récepteurs des œstrogènes (ER) du tissu mammaire cancéreux est un paramètre important dans le pronostic et la prédiction de la réponse à la thérapeutique hormonale. L'introduction d'anticorps monoclonaux anti-ER hautement spécifiques a permis à la détermination du statut des récepteurs des tumeurs du sein d'être effectuée en routine dans les laboratoires d'histopathologie.

Le clone 6F11 est dirigé contre la chaîne alpha entière du récepteur des œstrogènes humain, située dans le noyau des cellules normales et néoplasiques ER-positive. Le clone 6F11 a été abondamment testé.

Les NCL-ER-6F11/2 et NCL-L-ER-6F11/2 sont des options plus économiques pour les utilisateurs haut-débit du clone 6F11.

Produits

Produits

PA0009
30ml ER Bond RTU Primary
PA0151
7ml ER Bond RTU Primary
ER-6F11-L-CE
1ml NCL-L-ER-6F11
ER-6F11-L-2-CE
2ml NCL-L-ER-6F11

Téléchargements

Téléchargements

PA0009

PA0151

ER-6F11-L-CE

ER-6F11-L-2-CE

Récemment Consultés