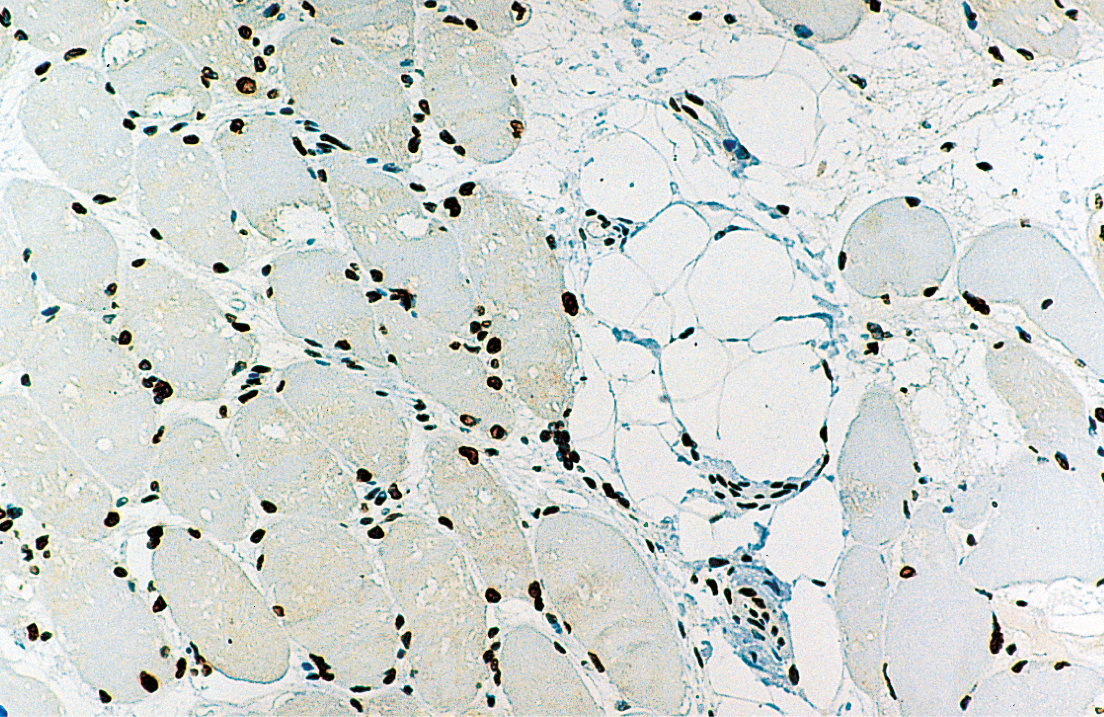
Human skeletal muscle: immunohistochemical staining for Emerin. Note perinuclear staining of all cell nuclei. Emerin: clone 4G5

Emerin

Description de l'antigène

La dystrophie musculaire d'Emery-Dreifuss (EDMD) est un désordre récessif lié au chromosome X, d'apparition tardive, caractérisé par des rétractions progressives, une dégénérescence musculaire et une cardiomyopathie généralement associée à un bloc cardiaque.

Les rétractions sont observées dans les coudes, les tendons d'Achille et les muscles post-cervicaux avec une distribution huméro-péronière précoce. Le gène STA, au locus Xq28, code pour une protéine de 34 kD riche en sérine qui est omniprésente dans les tissus, avec les concentrations les plus élevées dans les muscles cardiaques et squelettiques.

L'émerine est localisée dans la membrane nucléaire des cellules musculaires normales et une déficience en émerine joue un rôle crucial dans la pathologie de l'EDMD. Le NCL-EMERIN est utile pour la détection de la protéine codée par le gène STA normal.

Produits

Produits

EMERIN-CE
1ml NCL-EMERIN

Téléchargements

Téléchargements

EMERIN-CE

Récemment Consultés