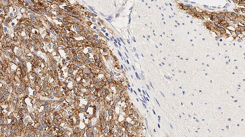
Human colon, gastrointestinal stromal tumor: immunohistochemical staining for DOG-1. Note membrane staining of neoplastic cells. DOG-1: clone K9

DOG-1

Description de l'antigène

La DOG-1, une protéine de 986 acides aminés de fonction inconnue, est essentiellement exprimée au niveau de la membrane plasmique des tumeurs stromales gastro-intestinales (GIST) et est rarement exprimée dans d'autres tumeurs des tissus mous, qui, par leur apparence, peuvent être confondues avec les GIST.

Une immunoréactivité pour la DOG-1 a été rapportée dans 97,8 pour cent des GIST mesurables, dont tous les GIST KIT-négatifs.

Il a été suggéré que la réactivité pour la DOG-1 peut aider à l'identification des GIST, y compris les mutants du récepteur alpha du facteur de croissance dérivé des plaquettes qui n'expriment pas l'antigène KIT.

L'utilisation de diluants à base de PBS peut causer une augmentation du bruit de fond.

Produits

Produits

DOG-1-L-CE
1ml NCL-L-DOG-1
PA0219
7ml DOG-1 Bond RTU Primary

Téléchargements

Téléchargements

DOG-1-L-CE

PA0219

Récemment Consultés