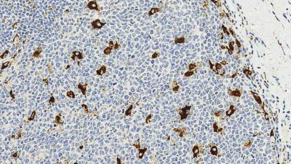
Human tonsil: immunohistochemical staining for CD68. Note the germinal centre macrophages show a strong cytoplasmic staining reaction, while the interfollicular macrophages show correct weak to moderate staining reaction. CD68: clone 514H12

CD68

Description de l'antigène

La molécule CD68 est une glycoprotéine intracellulaire de 110 kD, associée principalement aux granules cytoplasmiques et, dans une moindre mesure, aux membranes des macrophages.

Les marqueurs de l'antigène CD68 sont le plus souvent utilisés pour l'identification des macrophages en immunohistochimie. Cependant, le CD68 se trouve également dans les monocytes, dans les neutrophiles, dans les basophiles et dans les grands lymphocytes.

La fonction de CD68 n'est pas certaine, mais ces protéines des membranes des lysosomes en sont des composants majeurs et pourraient protéger les membranes contre l'attaque des hydrolases acides. On ignore si la protéine CD68 associée a la surface possède une fonction ou si elle est le résultat de sa perte accidentelle par les lysosomes.

L'expression de la protéine CD68 a été démontrée dans les lymphocytes T et dans les cellules NK stimulés et dans les tissus non hématopoïétiques comme le foie et les tubules rénaux.

Produits

Produits

CD68-L-CE
1ml NCL-L-CD68
PA0273
7ml CD68 Bond RTU Primary

Téléchargements

Téléchargements

CD68-L-CE

PA0273

Récemment Consultés