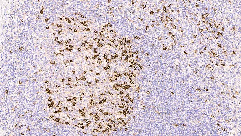
Human tonsil: immunohistochemical staining of T lymphocytes. CD57: clone NK-1

CD57

Description de l'antigène

La glycoprotéine CD57, également connue sous le nom de HNK-1, a un poids moléculaire de 110 kD.

Elle peut être trouvée sur une partie des cellules mononucléées à activité tueuse et sur les cellules neuroectodermiques exprimant la glycoprotéine associée à la myéline. Beaucoup de cellules qui co-expriment les protéines CD57 et CD8 forment un sous-ensemble des lymphocytes T suppresseurs/cytotoxiques. Ces cellules jouent un rôle dans le rejet des greffes dans la maladie du greffon contre l'hôte aigüe. La molécule CD57 n'est pas présente à la surface des érythrocytes ou des plaquettes.

Un pré-traitement enzymatique peut dans certains cas améliorer le marquage.

Produits

Produits

PA0443
7ml CD57 Bond RTU Prim

Téléchargements

Téléchargements

PA0443

Récemment Consultés