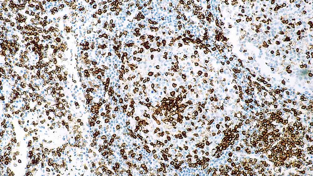
Human tonsil: immunohistochemical staining with CD45RO: clone UCHL1

CD45RO

La molécule CD45RO, une isoforme de 180 kD de CD45, est exprimée dans 48 pour cent des lymphocytes T du sang périphérique, dans 37 pour cent des lymphocytes CD4-positifs, dans 80 pour cent des thymocytes et dans la majorité des malignités à cellules T.

L'antigène est présent à la surface des monocytes et des granulocytes, mais dans le cytoplasme des macrophages tissulaires.

La technique de récupération d'épitopes induite par la chaleur peut dans certains cas améliorer le marquage.

Produits

Produits

UCHL1-L
1ml NCL-L-UCHL1
PA0146
7ml CD45RO Bond RTU Primary

Téléchargements

Téléchargements

UCHL1-L

PA0146

Récemment Consultés