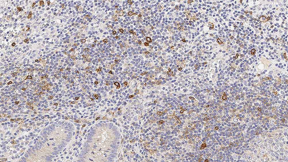
Human appendix: immunohistochemical staining for CD25. Note staining of activated lymphocytes. CD25: clone 4C9

CD25

L'antigène CD25, la sous-unité alpha du récepteur de l'interleukine-2, est une glycoprotéine à chaîne unique d'un poids moléculaire de 55 kD. Suite à l'activation des lymphocytes T, l'interleukine-2 (IL-2) est rapidement synthétisée et sécrétée.

En réponse à cette sécrétion d'interleukine-2, une sous-population de lymphocytes T exprime des récepteurs de haute affinité pour IL-2. Ces cellules prolifèrent, augmentant la population de lymphocytes T, qui est capable d'exercer des fonctions de médiation des fonctions auxiliaires, de suppresseur et cytotoxiques.

Le récepteur de l'IL-2 n'est pas exclusivement trouvé à la surface des lymphocytes T, et on a observé son expression dans les lymphocytes T et B transformés par le HTLV, dans les lymphocytes B transformés par l'EBV, dans les précurseurs des myéloïdes et dans les oligodendrocytes. Il est absent des thymocytes, des lymphocytes T en repos, des lymphocytes B non activés et des cellules nulles.

L'expression du récepteur de l'IL-2 est associée aux conditions d'inflammation et malignes, à la néoplasie lymphoïde, aux maladies auto-immunes et au rejet des allogreffes.

Produits

Produits

PA0305
7ml CD25 Bond RTU Primary

Téléchargements

Téléchargements

PA0305

Récemment Consultés