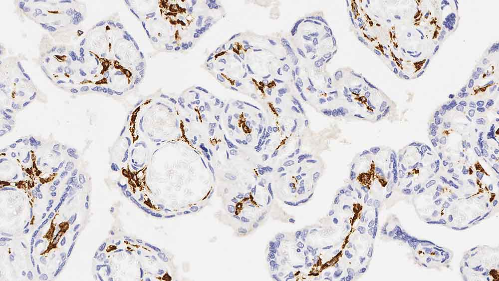
Human placenta: immunohistochemical staining for CD163. Note cytoplasmic staining of Hofbauer cells. CD163: clone 10D6

CD163

Description de l'antigène

La molécule CD163 est une protéine membranaire de type I, également connue sous les noms d'antigène M130, de Ber-Mac3, de Ki-M8 et de SM4. L'expression de la protéine CD163 est restreinte à la lignée monocyte/macrophage.

Elle a été observée à la surface de tous les monocytes circulants et de la plupart des macrophages tissulaires, à l'exception de ceux de la zone du manteau et des centres germinatifs des follicules lymphoïdes, à la surface des cellules interdigitées du réticulum et des cellules de Langerhans. Les cellules multinucléées des lésions inflammatoires n'expriment pas la protéine CD163.

La protéine est régulée à la hausse par les glucocorticoïdes et à la baisse par l'immunosuppresseur cyclosporine A et par les esters de phorbol, alors que le lipopolysaccharide, un médiateur de l'inflammation, n'influence pas son expression.

On a proposé qu'un mécanisme spécifique de libération de l'antigène CD163 soluble par les monocytes humains pourrait jouer un rôle important dans la modulation du processus inflammatoire.

Produits

Produits

CD163-L-CE
1ml NCL-L-CD163
PA0090
7ml CD163 Bond RTU Primary

Téléchargements

Téléchargements

CD163-L-CE

PA0090

Récemment Consultés