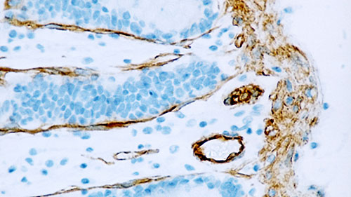
Normal human colon: immunohistochemical staining for Caveolin-1. Note cytoplasmic staining of smooth muscle and endothelium. Caveolin-1: clone 4D6

Caveolin-1

Description de l'antigène

La cavéoline-1 est un composant structurel majeur des cavéoles, des invaginations vésiculaires de la membrane plasmique de plusieurs types cellulaires. Elle joue un rôle régulateur dans plusieurs voies de signalisation, et elle est exprimée à des niveaux maximaux dans les cellules mésenchymateuses terminalement différenciées, telles que les cellules des muscles lisses, les adipocytes et les cellules endothéliales.

On en a aussi observé des niveaux élevés dans les fibroblastes, ou l'on a décrit un marquage granulaire fin des membranes et un marquage cytoplasmique diffus. Dans le cancer pancréatique, on a détecté la présence de la cavéoline-1 sur la membrane cellulaire et dans le cytoplasme des cellules cancéreuses.

D'autres études indiquent que la cavéoline-1 a probablement une activité de suppresseur de tumeur dans certaines malignités, telles que les sarcomes.

Produits

Produits

CAVEOLIN-1-L
1ml NCL-L-Caveolin-1

Téléchargements

Téléchargements

CAVEOLIN-1-L

Récemment Consultés