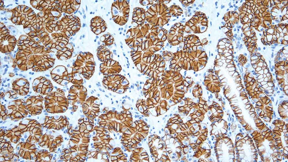
Human stomach: immunohistochemical staining for Carbonic Anhydrase IX. Note intense membrane and cytoplasmic staining of the deep glands. Carbonic Anhydrase IX: clone TH22

Carbonic Anhydrase IX

Description de l'antigène

L'anhydrase carbonique (AC) est une enzyme qui aide à l'interconversion rapide de dioxyde de carbone et d'eau en acide carbonique, en protons et en ions bicarbonates. Originellement dénommée MN/G250, l'anhydrase carbonique IX (ACIX) est une protéine transmembranaire de surface, trouvée principalement dans le tractus gastro-intestinal et dans la vésicule biliaire.

Les régions glandulaires du côlon normal sont anhydrase carbonique-négatives, mais les glandes sont anhydrase carbonique-positives dans les cas d'adénocarcinome. L'expression de l'ACIX a été également détectée dans les tumeurs épithéliales courantes, telles les carcinomes de l'œsophage, du poumon, du côlon, du rein, du col de l'utérus et le carcinome non à petites cellules du poumon.

Dans les carcinomes du sein, l'expression de l'ACIX est associée au tissu malin. L''ACIX n'est pas exprimée dans le rein normal, dans les carcinomes chromophobes ou oncocytomes, mais elle est spécifiquement exprimée dans les carcinomes à cellules claires du rein.

Produits

Produits

CAIX-L-CE
1ml NCL-L-CAIX

Téléchargements

Téléchargements

CAIX-L-CE

Récemment Consultés