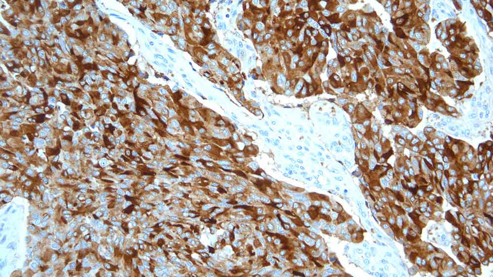
Human medullary thyroid carcinoma: immunohistochemical staining for Calcitonin. Calcitonin: clone CL1948

Calcitonin

Description de l'antigène

La calcitonine (CT) est un peptide de 32 acides aminés synthétisé par les cellules C parafolliculaires de la thyroïde. Elle agit par l'intermédiaire de ses récepteurs pour inhiber la résorption osseuse médiée par les ostéoclastes, pour diminuer la résorption du calcium par le rein et pour diminuer l'absorption du calcium par l'intestin. L'action de la calcitonine provoque donc une réduction du calcium dans le sérum, un effet opposé à celui de l'hormone parathyroïdienne. La transcription du gène de la calcitonine code également pour le peptide apparenté au gène de la calcitonine (CGRP), dont on pense qu'il est un vasodilatateur puissant. La spécificité tissulaire de la transcription produite dépend de l'épissage alternatif de l'ARN du gène CT/CGRP. Dans les cellules folliculaires de la thyroïde, 95 pour cent du CT/CGRP est transformé et traduit en CT, alors que dans les cellules neuronales 99 pour cent de l'ARN CT/CGRP est traduit en CGRP. Les cellules C de la thyroïde peuvent donner naissance à une tumeur endocrine, le cancer médullaire de la thyroïde (CMT) qui apparaît de façon sporadique (75 pour cent des cas) ou héréditaire (25 pour cent des cas). Le CMT familial est associé à une hyperplasie des cellules C (HCC), alors que le CMT sporadique ne l'est probablement pas. Cependant, dans la population générale, l'HCC est présente dans 20 à 30 pour cent des glandes thyroïdiennes, soit à histologie normale, soit dans le cas des thyroïdites ou des tumeurs folliculaires.

Produits

Produits

CALCITONIN-L-CE
1ml NCL-L-Calcitonin
PA0406
7ml Calcitonin Bond RTU Prim

Téléchargements

Téléchargements

CALCITONIN-L-CE

PA0406

Récemment Consultés