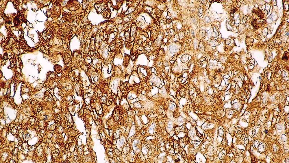
Human fetal liver: immunohistochemical staining for Alpha Fetoprotein. Note cytoplasmic of hepatocytes. Alpha Fetoprotein: clone C3

Alpha Fetoprotein

Description de l'antigène

L' alpha-fœtoprotéine (AFP) est un antigène oncofœtal de 70 kD présent dans les fluides corporels, dont les concentrations élevées ont des implications cliniques.
L'AFP est exprimé dans le foie fœtal, mais n'est pas normalement présent dans les tissus adultes sains. Son expression a été détectée dans une partie des tumeurs des cellules germinales, avec une grande fréquence dans les tumeurs du sac vitellin.

Produits

Produits

AFP-L-CE
1ml NCL-L-AFP
PA0963
7ml AFP Bond RTU Primary

Téléchargements

Téléchargements

AFP-L-CE

PA0963

Récemment Consultés