Kit de coloration spéciale acide periodique et Schiff (PAS) Leica

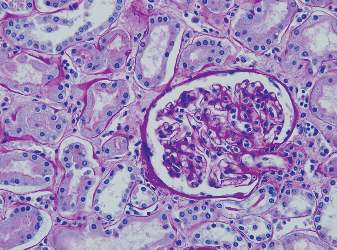
La coloration PAS est principalement utilisée pour colorer les structures qui contiennent une haute proportion d'hydrates de carbones tels que le glycogène, les glycoprotéines et les protéoglycanes présents dans les tissus conjonctifs, le mucus et les membranes basales.

Fréquemment utilisée pour la coloration de biopsies de rein et de foie, la détection de certains troubles du stockage de glycogène dans les muscles striés et la mise en évidence d'infections fongiques.

Produits

Produits

38016SS4A
PERIODIC ACID 500ML
38016SS4C
GILL II HEMATOXYLIN 500ML

Téléchargements

Téléchargements

38016SS4A

38016SS4C

Récemment Consultés