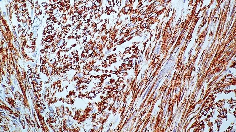
Human leiomyosarcoma: immunohistochemical staining for Muscle Specific Actin. Muscle Specific Actin: clone HHF35

Muscle Specific Actin

Antigens Background

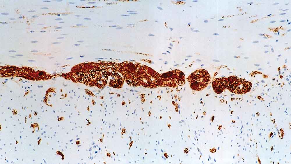
Muscle specific actin (MSA) is a highly conserved, ubiquitous protein found in muscle and some non-muscle cells. Actins can be divided into three subsets, alpha actins found in muscle tissue cells, beta and gamma actins found in non-muscle cells and a small subset of gamma actins also found in muscle tissue cells. In normal tissues, expression is found in striated fibers of skeletal muscle, smooth muscle in arteries, veins and pericytes of smaller arteries, muscle in bowel, myometrium of the uterus, prostatic stroma, capsule cells of liver, kidney, lymph node and spleen, the myoepithelial layers of mammary ducts and glands, eccrine sweat glands and salivary glands. Expression is not found in epithelial cells, lymphoid cells, macrophages, connective tissue and neuronal cells. In neoplastic tissues, expression can be found in soft tissue tumors with muscle differentiation, for example, leiomyomas, leiomyosarcomas and rhabdomyosarcomas of varying subtypes. Non-muscle sarcomas, carcinomas, melanomas and lymphomas do not express muscle specific actin.

Disclaimer

Muscle Specific Actin is recommended for the detection of specific antigens of interest in normal and neoplastic tissues, as an adjunct to conventional histopathology using non-immunologic histochemical stains.

Produits

Produits

MSA-594-L-CE
1ml NCL-L-MSA-594
PA0258
7ml MuscSpecAct Bond RTU Prim

Téléchargements

Téléchargements

MSA-594-L-CE

PA0258

Recently Viewed