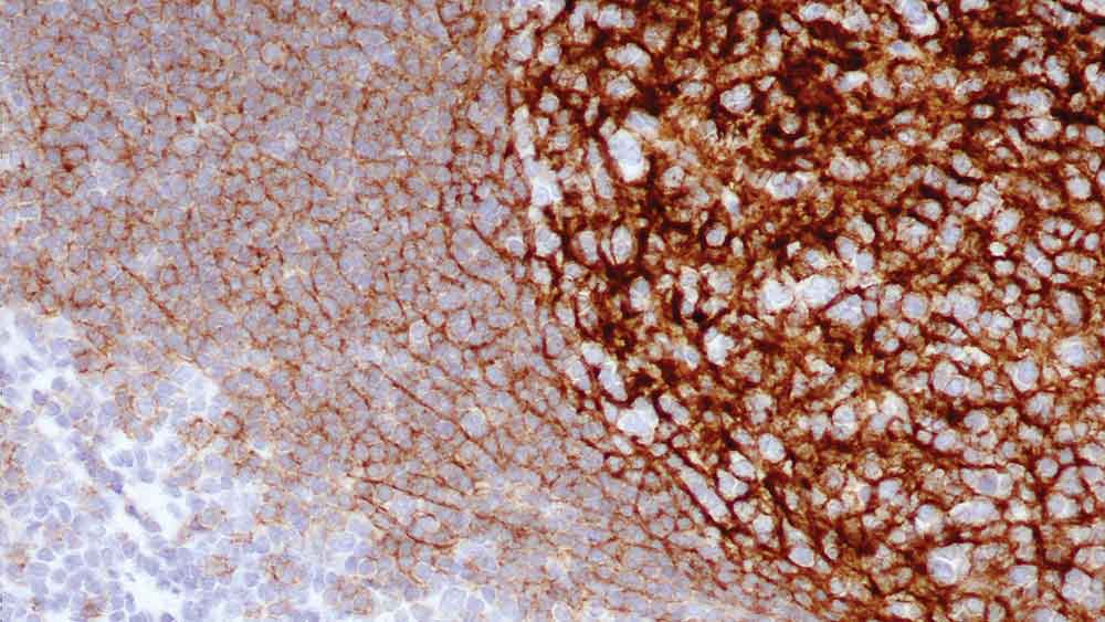
Human tonsil: immunohistochemical staining for CD21 antigen. Note intense membrane staining of follicular dendritic cells. CD21: clone 2G9

CD21

Antigen Background

CD21 antigen is a type I integral membrane glycoprotein of molecular weight 140 kD, which functions as the receptor for the C3d fragment of the third complement component. The CD21 molecule, present on mature B cells, is involved in transmitting growth-promoting signals to the interior of the B cell and acts as a receptor for Epstein-Barr virus. CD21 antigen is reported to be found in B cell chronic lymphocytic leukemias and in a subset of T cell acute lymphocytic leukemias but is absent on T lymphocytes, monocytes and granulocytes. CD21 antigen is also reported to be expressed in follicular dendritic cells and in follicular and mantle cell lymphomas, mature leukemias and lymphomas.

Disclaimer
CD21 is recommended for the detection of specific antigens of interest in normal and neoplastic tissues, as an adjunct to conventional histopathology using non-immunologic histochemical stains.

Produits

Produits

CD21-2G9-L-CE
1ml NCL-L-CD21-2G9
PA0171
7ml CD21 Bond RTU Primary

Téléchargements

Téléchargements

CD21-2G9-L-CE

PA0171

Recently Viewed