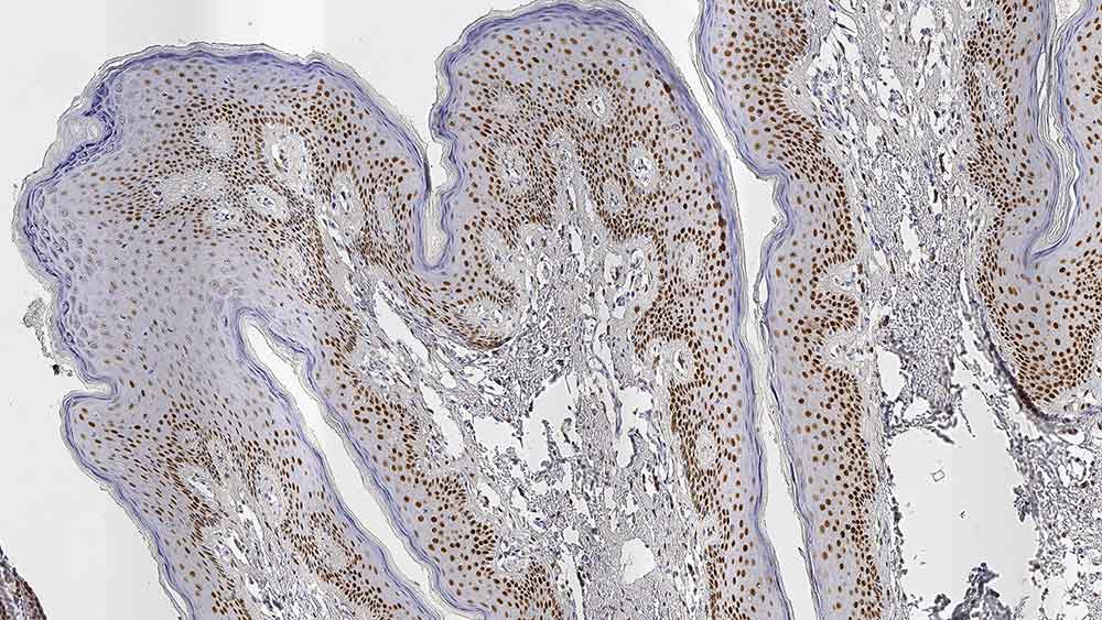
Human skin: immunohistochemical staining for Androgen Receptor. Note the nuclear staining of the epithelial cells. Androgen Receptor: clone AR27

Androgen Receptor

Antigen Background
Androgen receptor is a member of the superfamily of ligand responsive transcription regulators. The androgen receptor functions in the nucleus where it is believed to act as a transcriptional regulator mediating the action of male sex hormones (androgens). The androgen receptor has wide distribution and can be demonstrated by immunohistochemistry in several tissues e.g. prostate, skin, and oral mucosa. Androgen receptor has been reported in a diverse range of human tumors eg osteosarcoma, and in prostatic carcinoma androgen receptor expression may be of clinical relevance. Furthermore, mutation of the gene encoding androgen receptor has been reported in prostatic carcinoma.

Disclaimer
Androgen Receptor is recommended for the detection of specific antigens of interest in normal and neoplastic tissues, as an adjunct to conventional histopathology using non-immunologic histochemical stains.

Produits

Produits

AR-318-L-CE
1ml NCL-L-AR-318

Téléchargements

Téléchargements

AR-318-L-CE

Recently Viewed