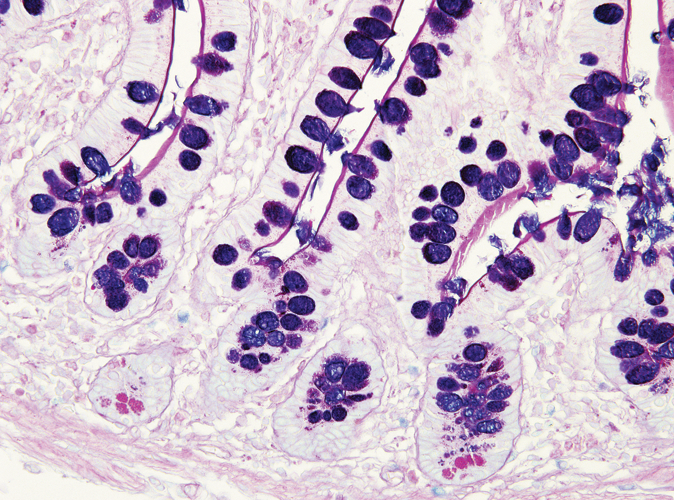
Alcian Blue and PAS Special Stain Kit

Combines the components of the Alcian Blue and Periodic Acid Schiff (PAS) stain kits.

Alcian Blue is normally prepared at an acidic pH of 2.5 

PAS staining is mainly used for staining structures containing a high proportion of carbohydrates such as glycogen, glycoproteins, proteoglycans typically found in connective tissues, mucus and basement membranes.

 

Produits

Produits

38016SS4A
PERIODIC ACID 500ML

Téléchargements

Téléchargements

38016SS4A

Recently Viewed