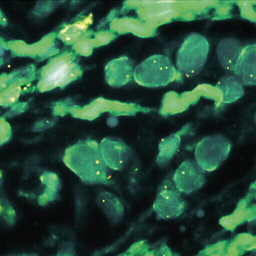
MALT1 (18q21) Break tissue probe hybridized to paraffin embedded material (2RG).

RUO - MALT1 Break (tissue) (18q21)

Low grade malignant lymphomas arising from mucosa associated lymphoid tissue (MALT) represent a distinct clinicopathological entity. The three major translocations seen in MALT lymphomas are t(11;18)(q21;q21) / API2-MALT1, t(14;18)(q32;q21) / IGH-MALT1 and t(1;14)(p22;q32) / IGH-BCL10. A break or split probe for MALT1 (18q21) is best used to analyze translocation of the MALT1 gene on formalin fixed paraffin embedded tissue for routine clinical diagnosis. The MALT1 (18q21) Break probe is optimized to detect translocations involving the MALT1 gene region at 18q21 in a dual-color, split assay. Kreatech has developed this probe for the specific use on cell material (KI-10608), or for the use on tissue (KI-10731).

References:

Morgan et al, 1999, Cancer Res, 59; 6205-6213.

Dierlamm et al, 2000, Blood, 96; 2215-2218.

Veuillez vous connecter ou créer un compte
pous voir le prix de ce produit.
ou DEMANDEZ un devis groupé.

Produits

Produits

KI-10731
MALT1 (18q21) Break (tissue)
En stock
Ships via Overnight
Veuillez vous connecter ou créer un compte
pous voir le prix de ce produit.
ou DEMANDEZ un devis groupé.

Téléchargements

Téléchargements

Recently Viewed