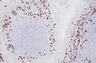
Human low grade mucosa associated lymphoma of thyroid:in situ hybridization for lambda mRNA using the lambda probe.Paraffin section.

BOND Lambda Probe

Lambda Probe is used in conjunction with Kappa Probe for the detection of antibody producing B cells in formalin-fixed, paraffin-embedded tissue.

B cell neoplasms are thought to arise from a single transformed cell (monoclonal), whereas reactive states result in proliferation of a number of B cells (polyclonal).

Since immunoglobulins from the same B cell contain either Kappa or Lambda light chains, light chain restriction or monoclonality can be used to make the distinction between reactive and neoplastic B cell proliferations.

Veuillez vous connecter ou créer un compte
pous voir le prix de ce produit.
ou DEMANDEZ un devis groupé.

Produits

Produits

PB0669
5.5 ml Bond Lambda Probe
Stock limité (Plus de détails)
Ships via Overnight
Veuillez vous connecter ou créer un compte
pous voir le prix de ce produit.
ou DEMANDEZ un devis groupé.

Téléchargements

Téléchargements

PB0669

Recently Viewed