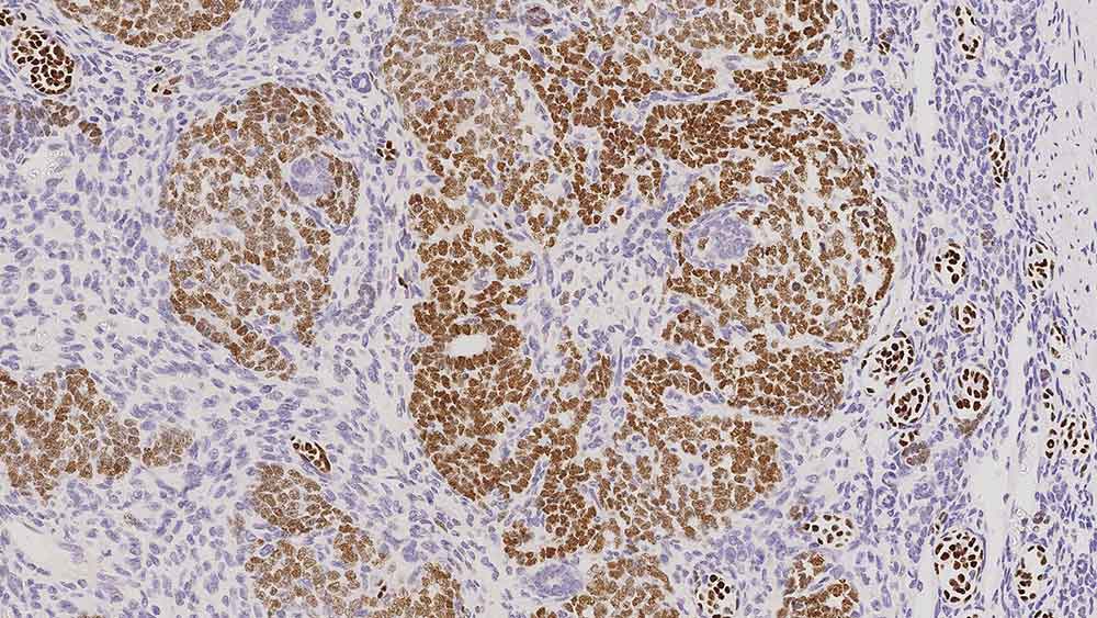
Human kidney: immunohistochemical staining for Wilms' tumor. Note the nuclear staining of invasive tumor cells. Wilms' Tumor: clone WT49

Wilms' Tumor

Antigen Background

Wilms' tumor protein (WT1) has a role in transcriptional regulation and is expressed in the kidney and a subset of hematopoietic cells. Alteration of transcription factor function is a common mechanism in oncogenesis. The WT1 protein contains a DNA binding domain and any deletions or point mutations of the WT1 gene which destroy this activity result in the development of the childhood nephroblastoma Wilms' tumor and Denys-Drash syndrome. The description of WT1 involvement in nephroblastoma is not clear.

Disclaimer

Wilms' Tumor is recommended for the detection of specific antigens of interest in normal and neoplastic tissues, as an adjunct to conventional histopathology using non-immunologic histochemical stains.

Veuillez vous connecter ou créer un compte
pous voir le prix de ce produit.
ou DEMANDEZ un devis groupé.
We are currently updating the product codes for a number of our Advanced Staining reagents. From January 2023 you will begin to receive products with a –U, –A or –X suffix (e.g. PAxxxx-U).

Please see here for more information

Produits

Produits

WT1-562-L-U
1ml NCL-L-WT1-562
En stock
Ships via Overnight
Veuillez vous connecter ou créer un compte
pous voir le prix de ce produit.
ou DEMANDEZ un devis groupé.
PA0562-U
7ml Wilms Tumor Bond RTU Prim
En stock
Ships via Overnight
Veuillez vous connecter ou créer un compte
pous voir le prix de ce produit.
ou DEMANDEZ un devis groupé.

Téléchargements

Téléchargements

WT1-562-L-U

PA0562-U

Recently Viewed